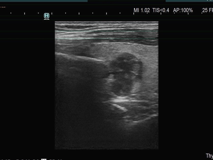
The echogenicity of the nodule - case 1740 (ultrasonographic picture 13)
|
|
|
|
Left lobe, longitudinal scan - with decreased frequency. If it is a mass composed of multiple nodules , then the ventral nodule has irregular borders. If this is one single nodule, then it shows taller-than-long shape, too.
