The echogenicity of the nodule - case 1740 (ultrasonographic picture 14)


Previous picture Back to Case Next picture

Right lobe, longitudinal scan

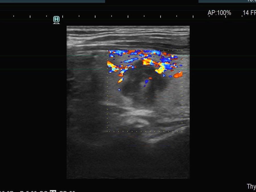
Left lobe, longitudinal scan, color Doppler mode. There are some blood flow in the upper part of the nodule.

 

 

 

 

 

 

 

mask