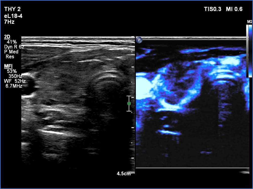
The echogenicity of the nodule - case 365 (ultrasonographic picture 4)

Five years after the first examination


Previous picture Back to Case Next picture

Right lobe, longitudinal scan

Right lobe, transverse scan, microflow imaging.

 

 

 

 

 

 

 

mask