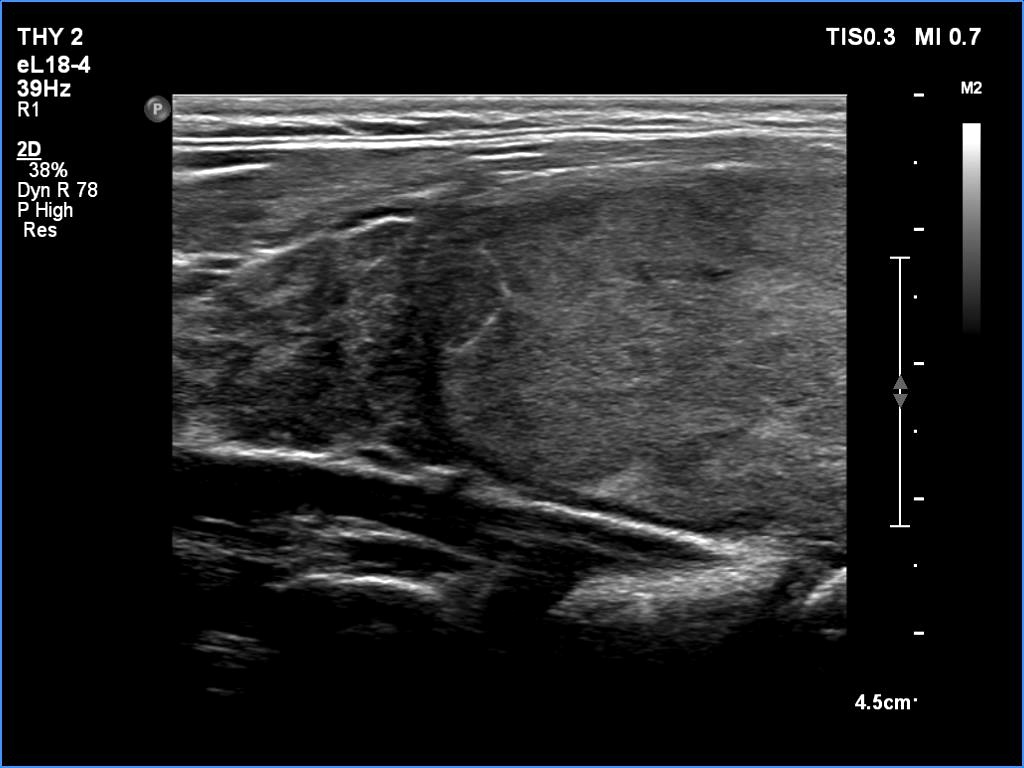
The echogenicity of the nodule - case 365 (ultrasonographic picture 6)
Five years after the first examination
|
|
|
|
Left lobe, longitudinal scan. Compared with the non-nodular part, the lesion is more echoic.
