The echogenicity of the nodule - case 365 (ultrasonographic picture 3)
Seven years after the first examination
|
|
|
|
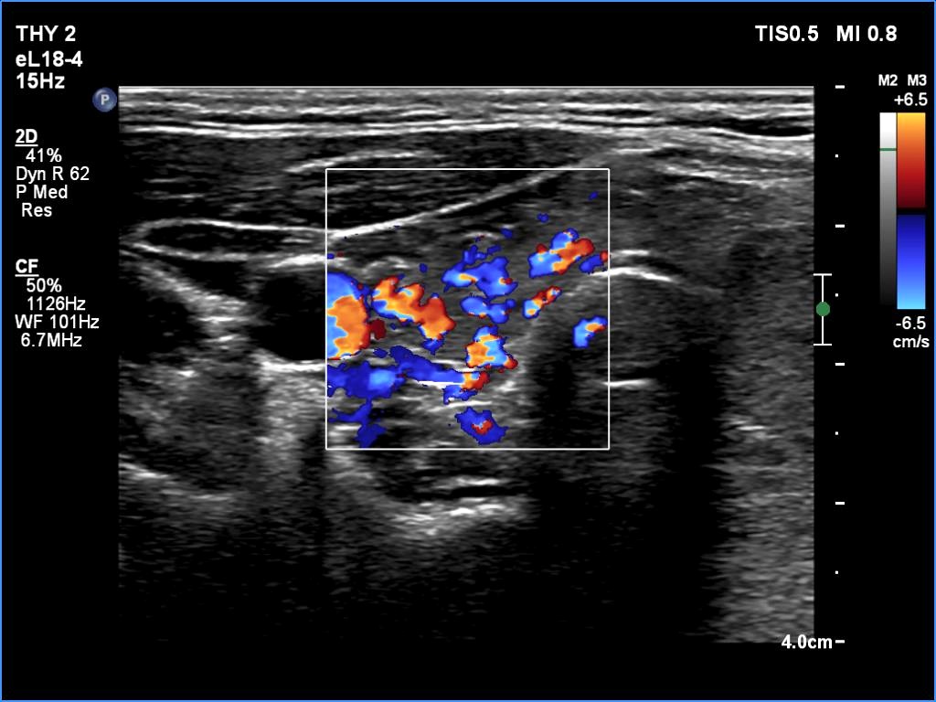
Right lobe, transverse scan, color Doppler mode. The vascularity became increased.
