Study on 100 consecutive patients with thyroid nodule - case 004 (cytologic picture 5)


Previous picture Back to Case Maximize Next picture

Right lobe, longitudinal scan

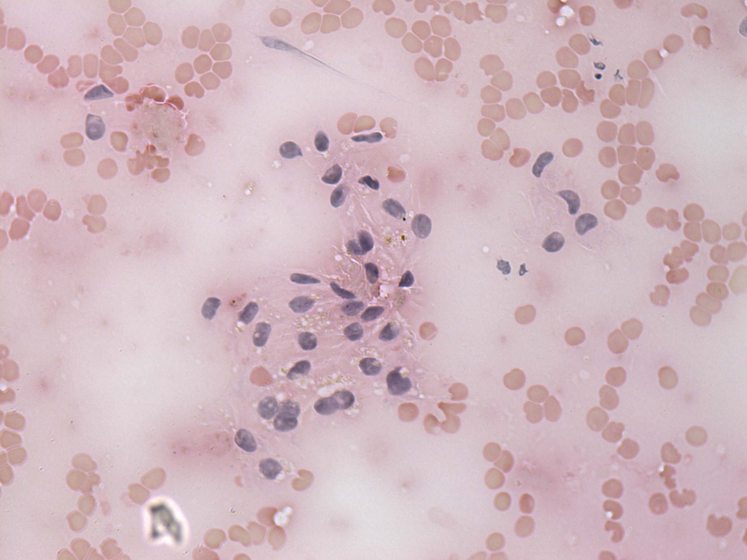
Pap-smear, 400x.   Follicular cells display degenerative changes.

 

 

 

 

 

mask