Study on 100 consecutive patients with thyroid nodule - case 004 (cytologic picture 6)


Previous picture Back to Case Maximize  

Right lobe, longitudinal scan

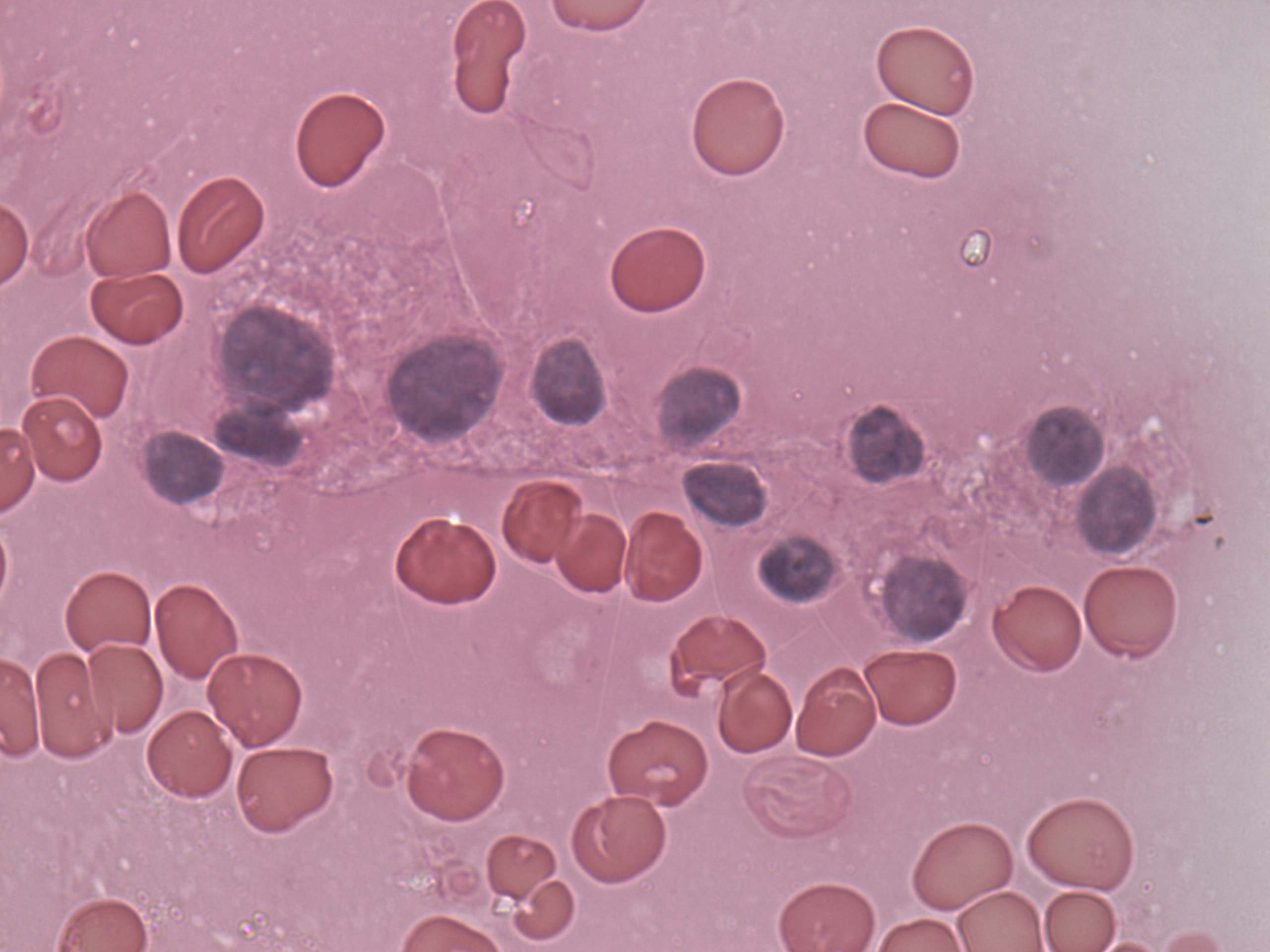
Pap-smear, 1000x.   Follicular cells present mild degree of anisonucleosis.

 

 

 

 

 

mask