Study on 100 consecutive patients with thyroid nodule - case 035 |
|
Clinical presentation: A 52-year-old woman was referred for evaluation of a nodular goiter which has been known for more than 15 years. Scintigraphy was performed 13 years ago and disclosed two "cold" nodules in the right lobe while a "warm" nodule in the left lobe. The patient occasionally had 'lump in the throat' feeling.
Palpation: Both lobes were nodular on palpation. None of the nodules were suspicious.
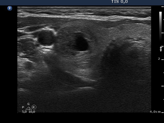
Ultrasonography. The thyroid was echonormal and contained numerous nodules with different echogenicities.
Cytology was performed from two lesions located in the right lobe and resulted in benign colloid goiter and in benign cystic-colloid goiter, nodule in the middle-dorsal part and in the lower pole, respectively.
Functional state: euthyroidism with subnormal TSH - TSH 0.24 mIU/L, FT4 14.8 pM/L.
Suggestion: follow-up examination in a year.





