Intranodular hyperechogenic figures - case 443 |
|
Clinical data: A 45-year-old woman was referred for aspiration cytology of a thyroid nodule which suddenly developed 3 weeks ago. On ultrasound examination a suspicious nodule was described with starry sky phenomenon. We have already met the patient for 14 years during her pregnancy when a healthy thyroid was found without any discrete lesions on ultrasound.
Palpation: an elastic nodule in the left lobe.
Functional state: euthyroidism with TSH 0.83 mIU/L.
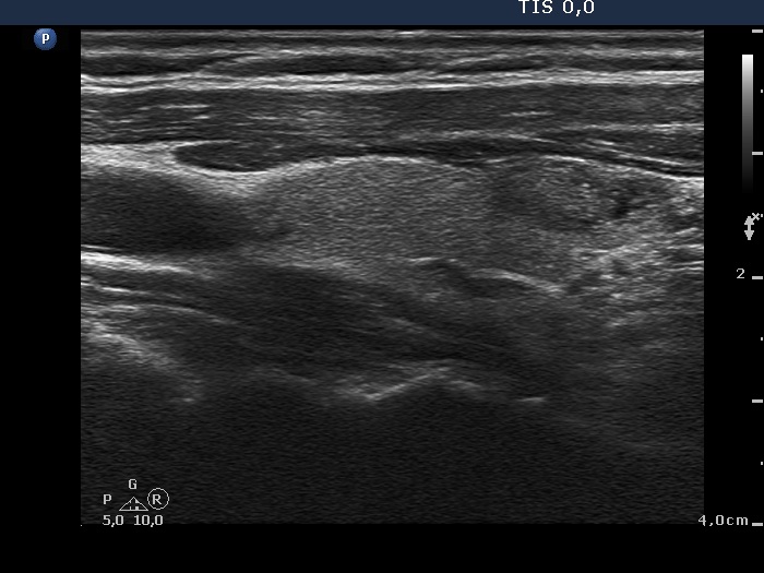
Ultrasonography. The thyroid was echonormal. There was a minimally-moderately hypoechogenic nodule in the right while a cystic nodule in the left lobe. There were numerous hyperechogenic figures both in the cystic and in the lower solid part of the lesion. The lesion presented no vascularization.
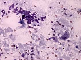
Two mL brown cystic fluid was removed, thereafter the solid area was aspirated. Cytology resulted in benign lesion.
We told the patient that the risk of malignancy is very low. She requested a second opinion by another colleague who advised surgery.
Left lobectomy was performed. Histopathology disclosed microfollicular adenoma.
Comment. The presentation of the bright hyperechogenic granules are relatively unusual, they were mostly located within the solid part causing a false impression of starry sky phenomenon. In fact, they were comet-tail artifacts.



















