Parathyroid lesions - case 39 |
|
Clinical data: A 66-year-old woman was referred for evaluation of a suspected hyperparathyroidism. She had multiple pathological fractures in the last 2 years.
Palpation: no abnormality.
Laboratory tests: serum-calcium 3.36 mM/L, phosphorus 0.62 mM/L, TSH 2.87 mIU/L.
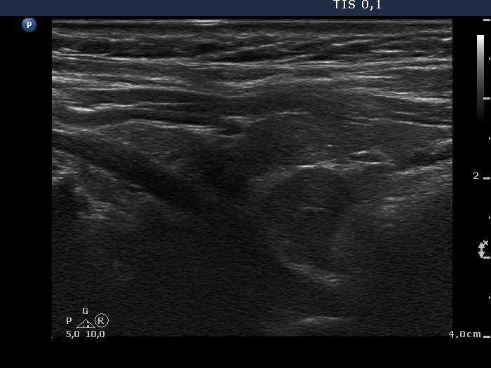
Ultrasonography. The thyroid was minimally-moderately hypoechogenic. There was a hyperechogenic nodule in the central part of the right lobe while several small insignificant lesions in the left thyroid. There was a hypoechogenic mass in the border of the middle-lower part of the right lobe dorsolateral. The lesion presented no vascularity.
Aspiration cytology was not diagnostic.
Wash-out results of the hypoechogenic lesion: thyroglobulin 154 pg/L, parathormone 390.5 pg/mL.
Further laboratory tests: parathormone 244 pg/mL (normal value: 15-66), thyroglobulin 37.9 pg/mL.
Scintigraphy disclosed parathyroid lesion corresponding to the mass in the lower-dorsal part of the thyroid.
Left lobectomy was performed with the removal of the right lower parathyroid. Histopathology: benign, hyperplastic nodule and parathyroid adenoma corresponding to the right lower parathyroid.
Comment. The wash-out thyroglobulin of a non-thyroidal lesion covered with thyroid parenchyma is frequently elevated because the needle crosses ventral thyroid elements. Nevertheless, the wash-out parathormone is decisive in the event of a parathyroid lesion.





