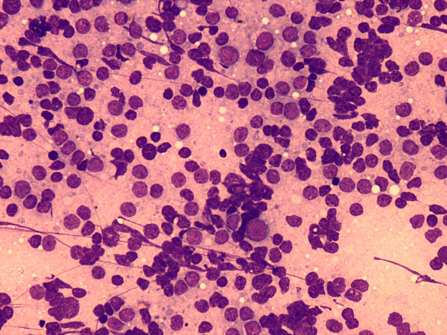
Thyroid cancers - case 1510 (cytologic picture 3)
|
|
|
![]() |
|
Wright-Giemsa staining, 400x. This is a heterogeneous lymphoid cell population which could even come from Hashimoto's thyroiditis.

