Menu
Home
2 Nodular goiter
3 Non-nodular thyroid
4 Non-thyroid neck
5 US-interventions
6 Advanced courses
Thyroid cancers
Cases
Supplement
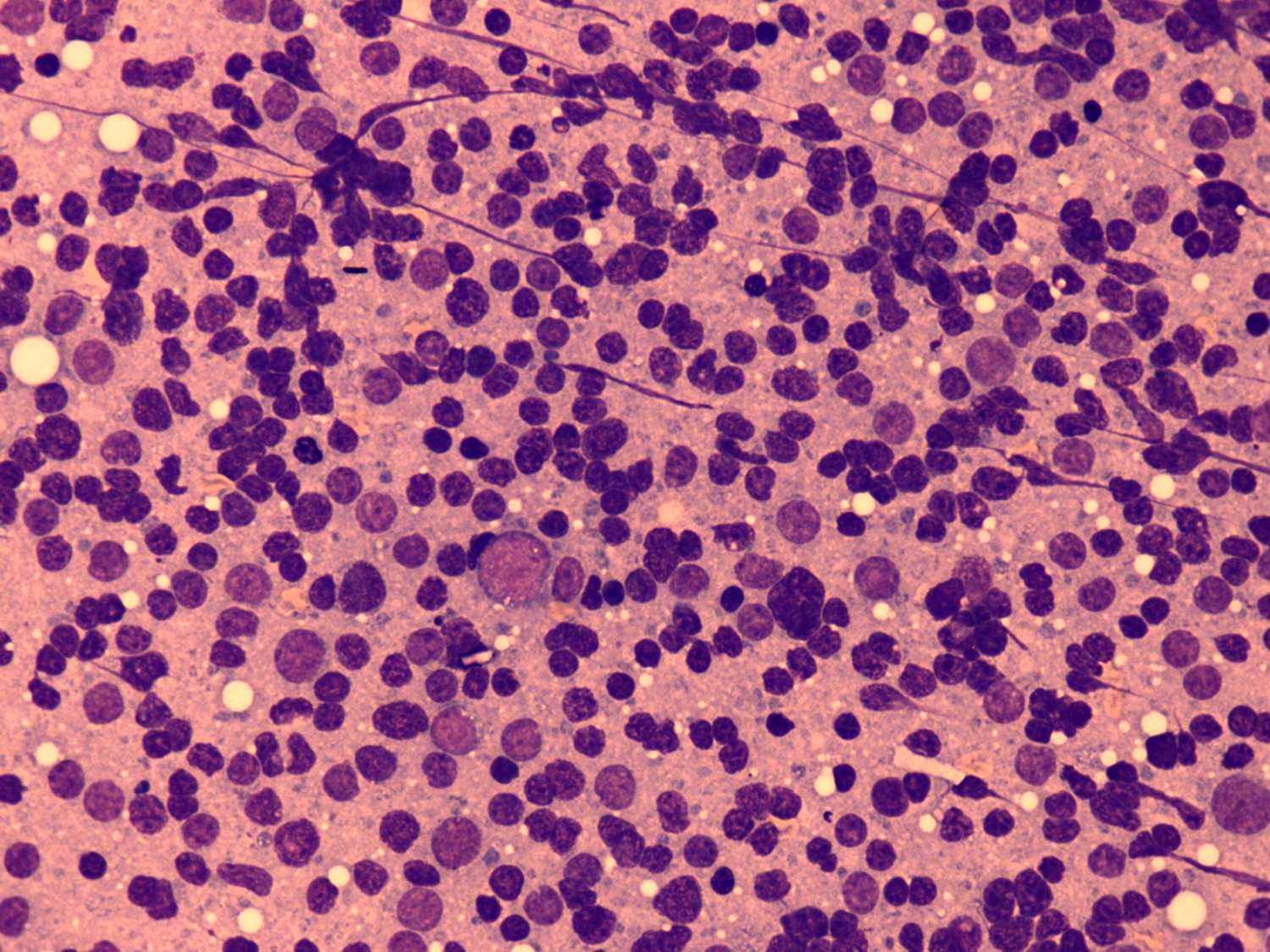
Thyroid cancers - case 1510 (cytologic picture 4)
Wright-Giemsa staining, 400x. This is a heterogeneous lymphoid cell population.