Thyroid cancers - case 678 (ultrasonographic picture 2)


Previous picture Back to Case Next picture

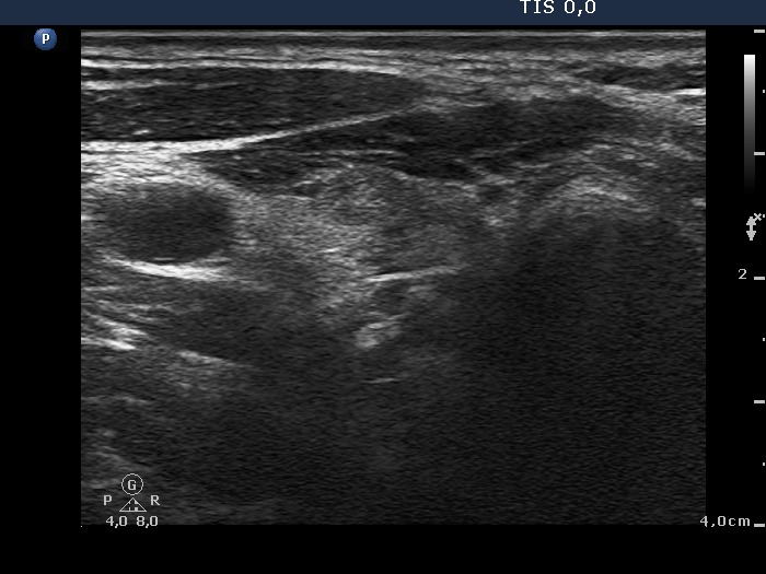
Right lobe, longitudinal scan

Lower part of the right lobe, transverse scan. There is a small hypoechogenic lesion with hyperechogenic figures.

 

 

 

 

mask