Thyroid cancers - case 71 |
|
Clinical presentation: A 68-year-old woman was referred for evaluation of a nodule which was discovered by the patient herself 2 months ago.
Palpation. There were palpable nodules in both lobes. The nodule in the left lobe was hard on palpation.
Functional state: euthyroidism with TSH-level 0.83 mIU/L.
Ultrasonography. There was a large hypoechogenic nodule in the left lobe with hyperechogenic patches without acoustic shadow These corresponded to amyloid deposits.
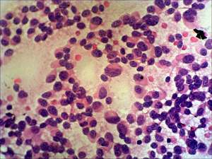
Cytological diagnosis: medullary cancer.
Histopathology disclosed medullary cancer with metastasis to the lymph node of the neck.








