Differential diagnostics - Hashimoto's thyroidtis
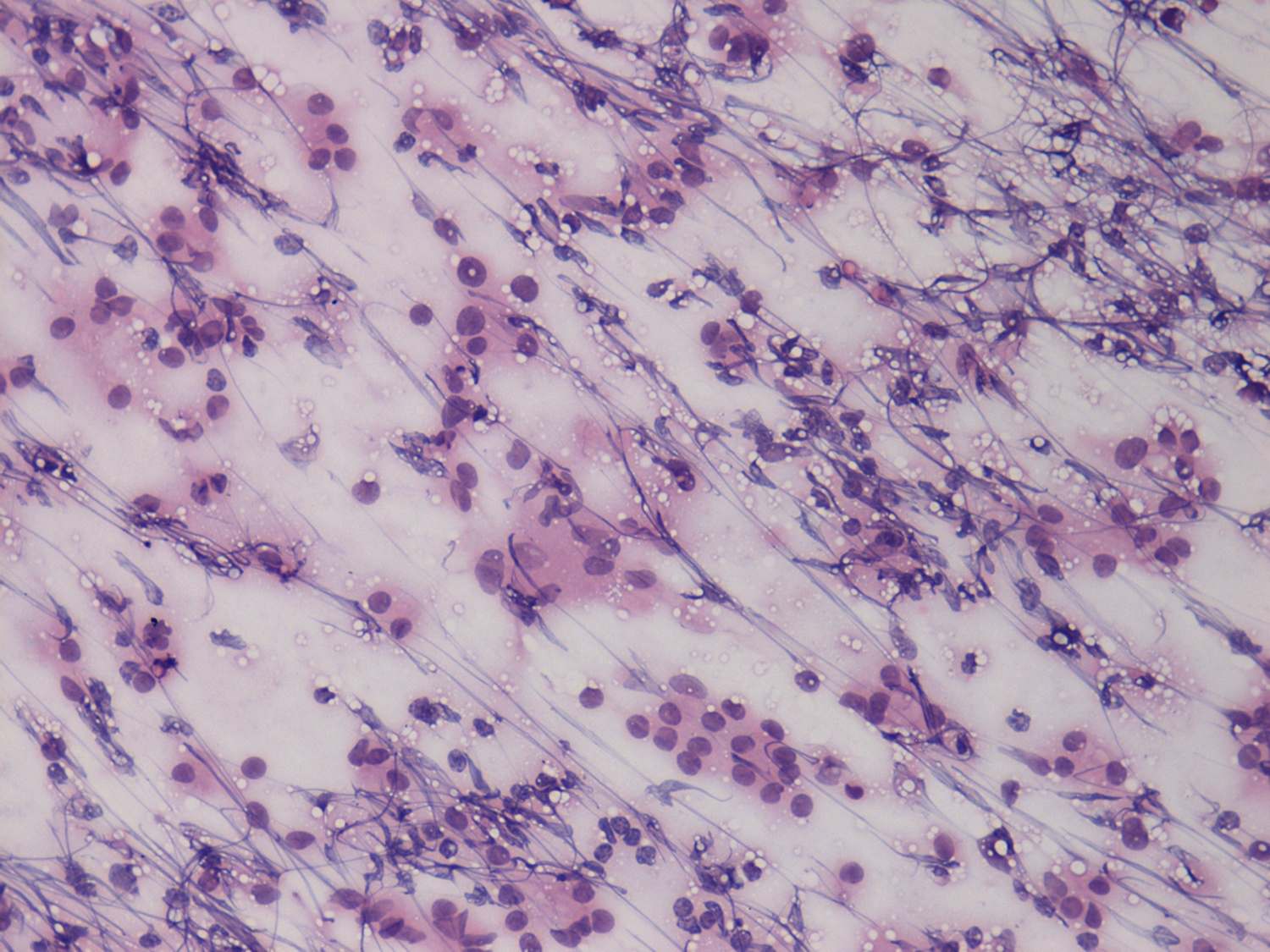
De Quervain's thyroiditis - Case 1
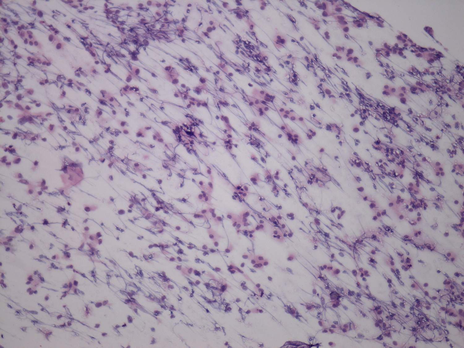
Hasimoto's thyroiditis - Case 7

The patterns on low power field are similar. Follicular cells have abundant cytoplasm even in the case of de Quervain's thyroidtis. On the other hand, high power field images discloses de Quervain's thyroiditis in the left images on the presence of multinucleated giant cells composed of epitheloid cells.
mask