Differential diagnostics - Hashimoto's thyroidtis (II)
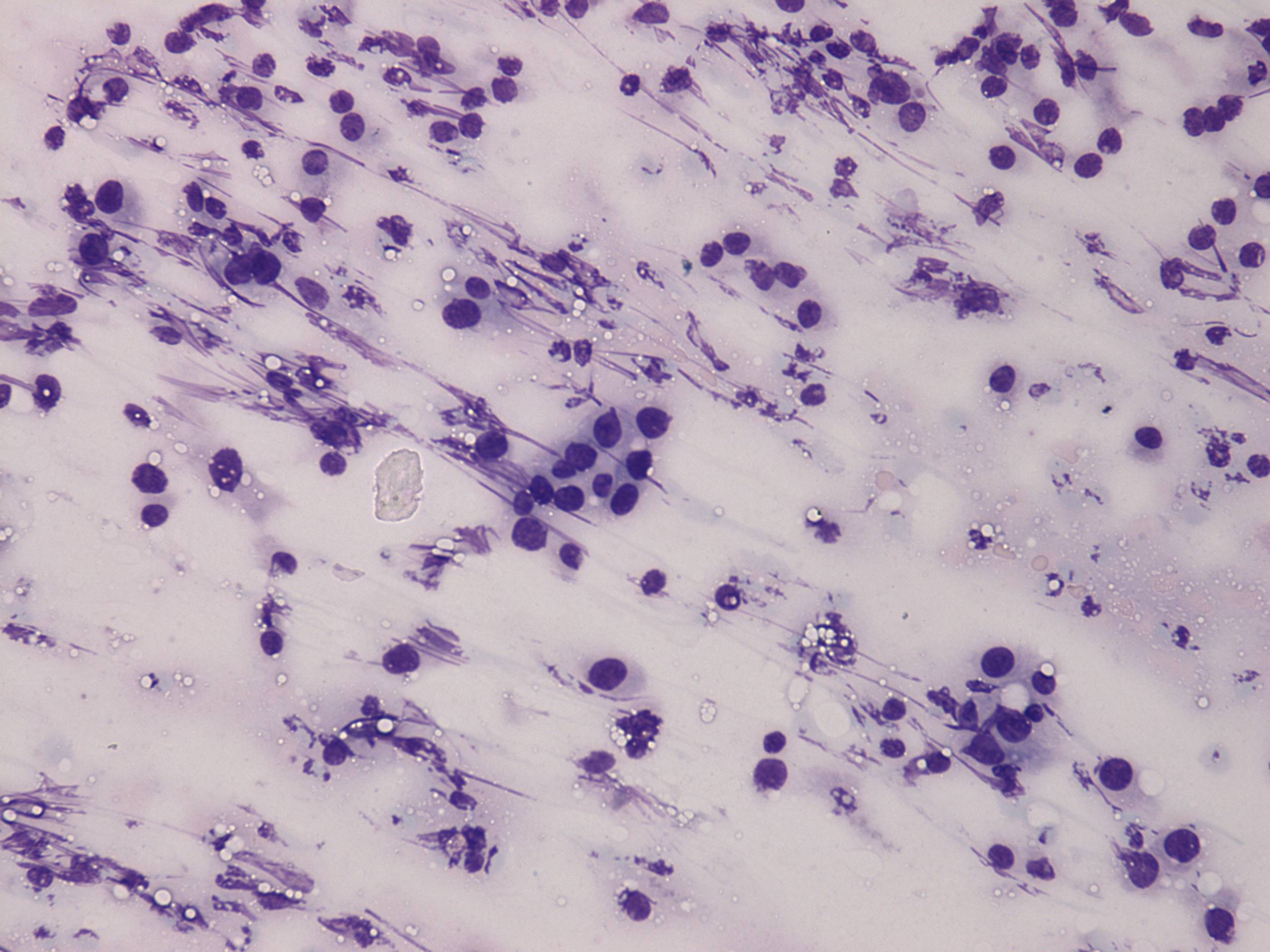
De Quervain's thyroiditis - Case 2
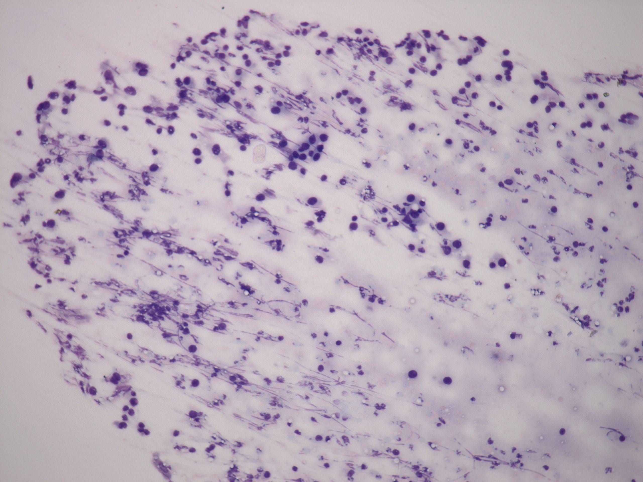
Hashimoto's thyroiditis - Case 70

These two cases have a very similar cytological presentation. If we are aware about the clinical picture, we can find that the 3 multinucleated cells are partly composed of epitheloid cells in the left case, and we will not misinterpret the epitheloid granuloma-like figure in the right case. However, if the cytopathologist is not aware of the patient's history, it is very difficult or even impossible to interpret the cytological patterns correctly.
mask