Menu
Case histories
Lectures
Papillary cancer
List of cases
Videorecords
Pitfalls
Course book
Course on US
Papillary cancer
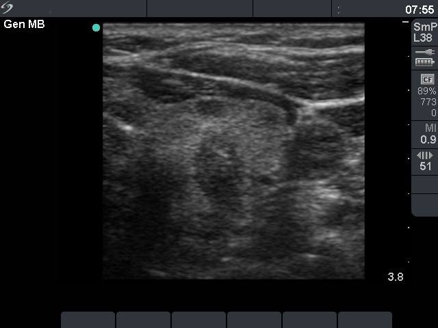
Characteristic ultrasound properties - irregular borders of the nodule
Papillary cancers -
Case 2
Papillary cancers -
Case 9
Papillary cancers -
Case 12
Papillary cancers -
Case 28
The borders of a papillary carcinoma is frequently irregular, lobulated.