Selected topics - intranodular hyperechogenic figures - Table 6 (large). Amyloid deposit

doi: 10.24390/thyrosite.2018.ihf.06.2

This is a compound figure, an irregular patch located within a hypoechogenic nodule. The patch is composed of an echonormal irregular mass which usually contains hyperechogenic granules, punctate echogenic foci and/or coarse calcifications, as well. Every third medullary carcinoma presents this figure. Similar figures can be found even in benign lesions.

Medullary carcinoma (histological diagnosis) - case 638

There is an irregular minimally hypoechogenic-echonormal small patch in the central part of the hypoechogenic nodule. This figure has one bright granule in the left image.

   

Medullary carcinoma (histological diagnosis)

The tumor has hyperechogenic granules and a larger echonormal irregularly shaped patch which corresponds to amyloid deposit. Note the dorsal acoustic shadowing.

   

Medullary carcinoma (histological diagnosis) - case 529

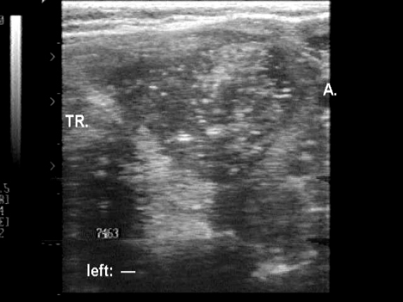
A metastatic lymph node is presented in this case. The node has at least four hyperechogenic patches on the left in the horizontal scan. These have an echonormal background and display small hyperechogenic granules. There is acoustic shadow in the right in the longitudinal view.

   

Medullary carcinoma (histological diagnosis) - case 617

Right thyroid lobe
A metastatic lymph node in the right side of the neck

There are similar hyperechogenic figures in the primary and metastatic focus. These are multiple, have an irregular shape and vary greatly in size.

   

Medullary carcinoma (histological diagnosis) - case 1774

This tumor contains numerous amyloid deposits. The images were gained with an older equipment, therefore the bright granules within the echonormal background of the patches are larger because of the low quality resolution.

   

Papillary carcinoma - case p057

Medullary carcinoma (histological diagnosis) - case 185

The papillary carcinoma has punctate echogenic foci (microcalcifications) within an echonormal background which is itself a thyroid tissue.

The bright granules are located within an echonormal background. These together are the amyloid deposits.

   

Medullary carcinoma (histological diagnosis) - case 174

This tumor has numerous bright punctate echogenic foci and large irregularly shaped echonormal patches, the latter are amyloid deposits.