Medullary carcinoma - Case 5. |
|
Clinical presentation: A 39-year-old woman was referred for an evaluation of a multinodular goiter. The patient complained of a 'lump in the throat' feeling and dysphagia.
Palpation: firm nodules in both lobes.
Functional state: euthyroidism.
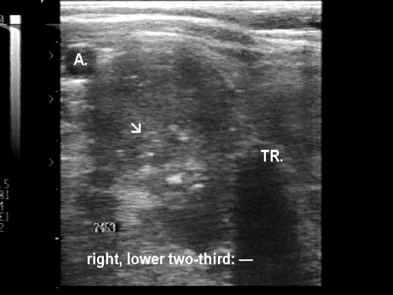
Ultrasonography revealed a multinodular goiter. Hypoechogenic nodules were found in both lobes. They displayed microcalcifications and larger, cotton-like hyperechogenic patches without dorsal acoustic shadow. These patches correspond to amyloid. (The patient was evaluated in 1996, therefore the sonographic images are technically out of date. Nevertheless, these are already edifying.)
Cytological diagnosis: suspicion of malignancy not otherwise specified.
Immunocytochemistry: positive reaction for calcitonin and a negative one for thyroglobulin.
Blood test for calcitonin: serum-level of calcitonin was 5.90 pM/L (normal value: 0-3.36).
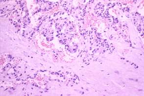
Histopathology: medullary cancer.
Comments:
1. The sonographic pattern is very specific for medullary cancer: cotton-like hyperechogenic patches without acoustic shadow occupying more than 50% of a hypoechogenic nodule
2. The cytological pattern was not pathognomonic. Nevertheless, the lack of normal follicular arrangement is itself suspicious for a tumor not of follicular cell origin.













