Menu
Case histories
Lectures
Graves' disease
List of cases
Videorecords
Pitfalls
Course book
Course on US
Graves' disease - Case 11.
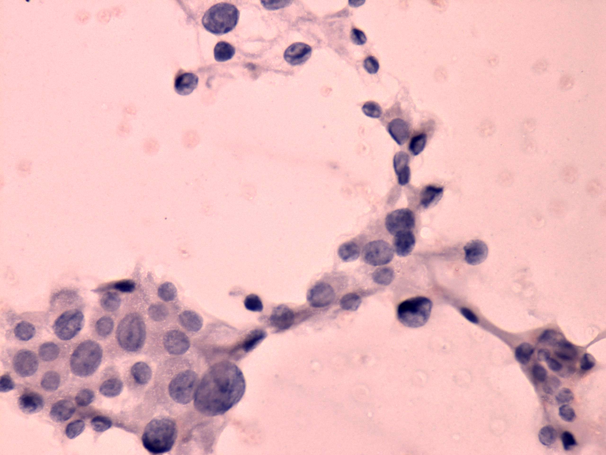
Initial investigation (cyt
ologic picture 7)
Pap-smear, 400x. Not extreme degree of anisonucelosis.