Menu
Case histories
Lectures
Graves' disease
List of cases
Videorecords
Pitfalls
Course book
Course on US
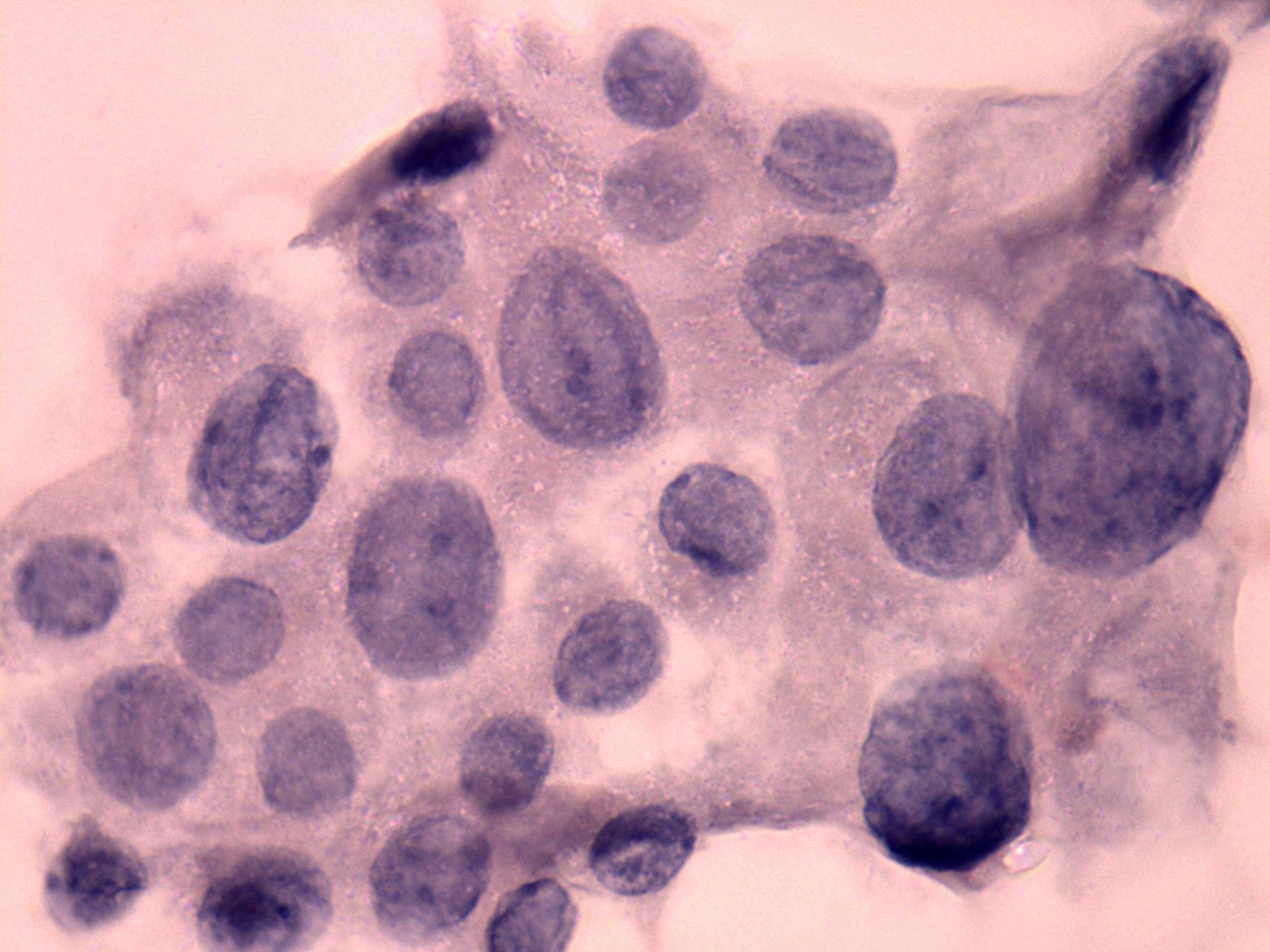
Graves' disease - Case 11.
Initial investigation (cyt
ologic picture 8)
Pap-smear, 1000x. Follicular cells contain groove-like figures.