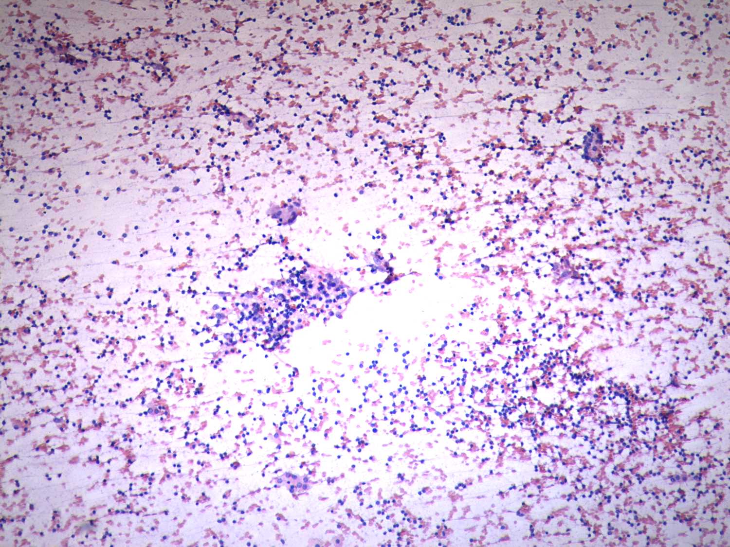
Chronic lymphocytic thyroiditis - Case 35.
Initial investigation - 6 months after delivery (cytologic picture 1)
|
|
|
|
|
Pap-smear, 100x. Heterogeneous lymphoid elements mixed with groups of follicular cells.

