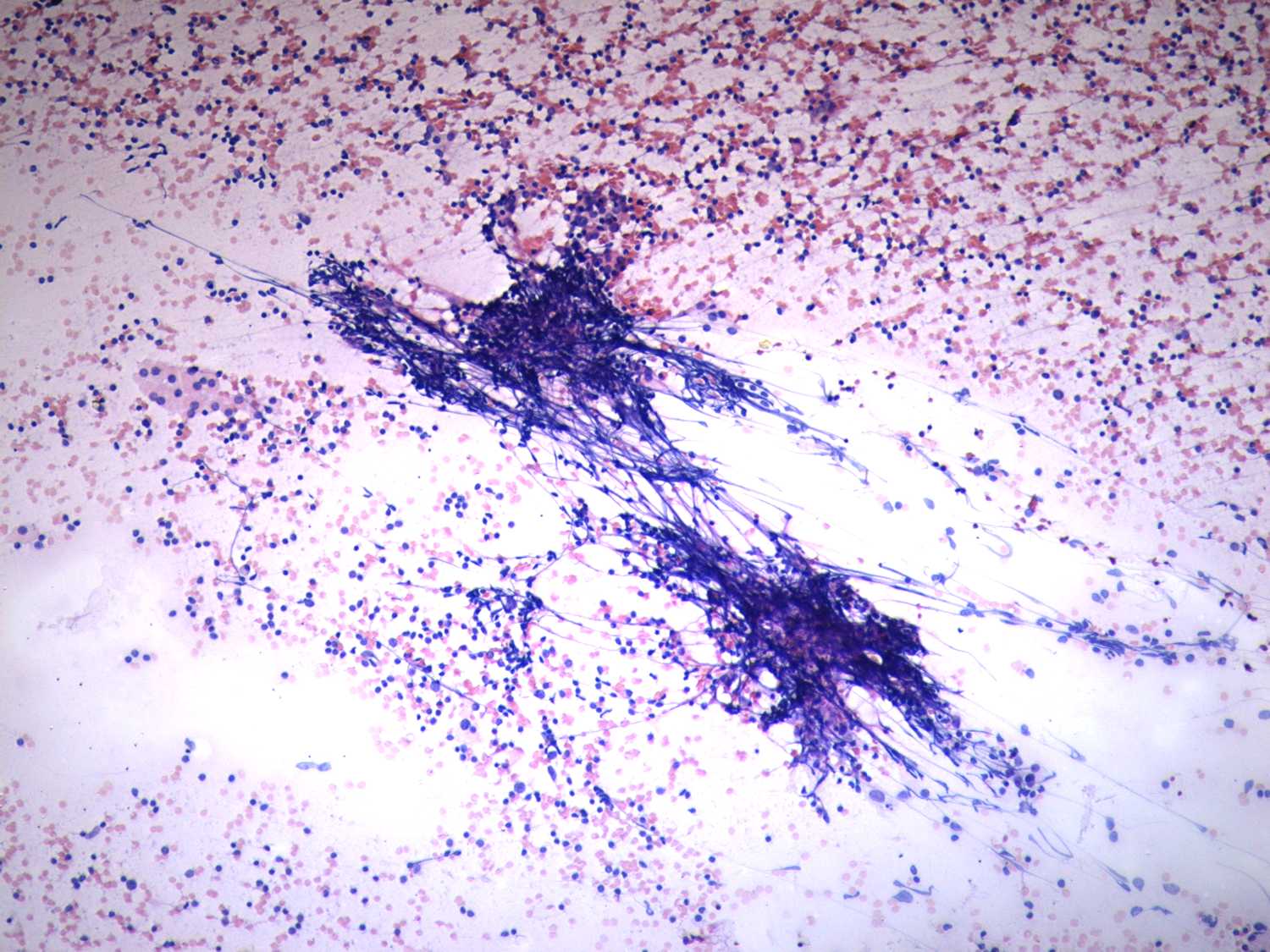
Chronic lymphocytic thyroiditis - Case 35.
Initial investigation - 6 months after delivery (cytologic picture 2)
|
|
|
|
|
Pap-smear, 100x. A fragment typical for a thyroiditis.

