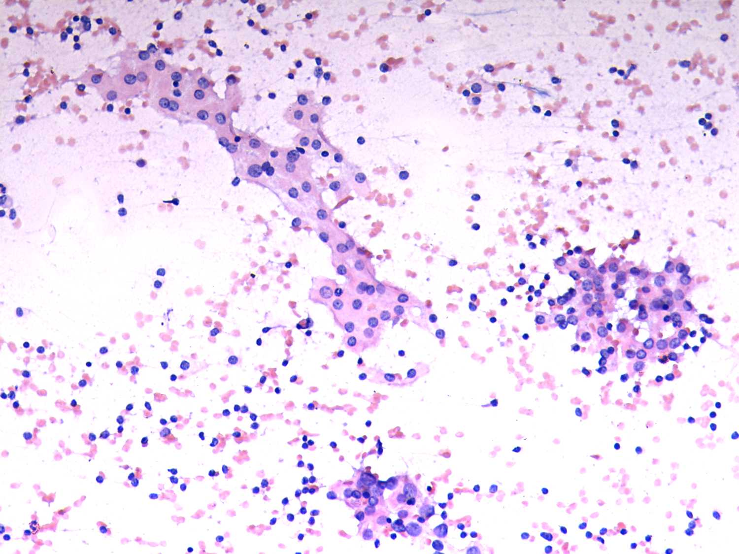
Chronic lymphocytic thyroiditis - Case 35.
Initial investigation - 6 months after delivery (cytologic picture 3)
|
|
|
|
|
Pap-smear, 200x. Oxyphilic cell groups in a lymphoid background.

