Chronic lymphocytic thyroiditis - Case 35. |
|
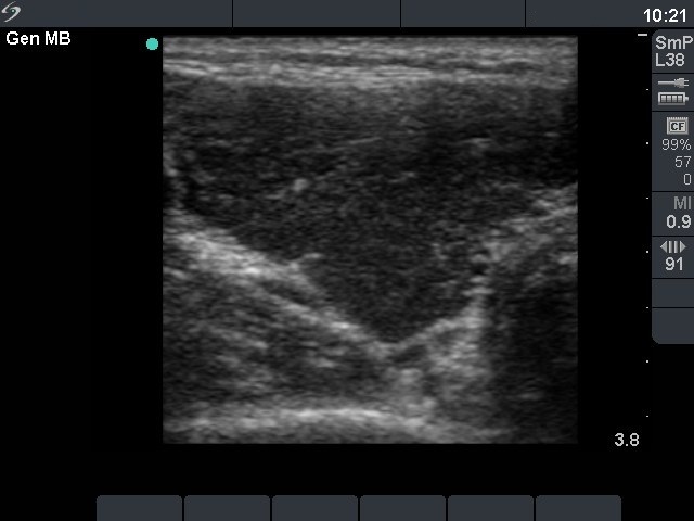
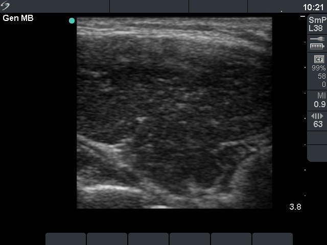
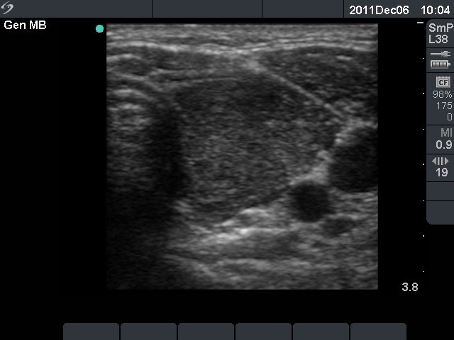
First investigation 6 months after delivery (first and second rows of images)
Clinical presentation: a 22-year-old woman was referred for an evaluation of a newly discovered hypothyroidism. She had fatigue and hair loss. She has been delivered 6 months before present investigation.
Palpation: the thyroids were enlarged and firm.
Functional state: hypothyroidism with TSH 47.7 mIU/L.
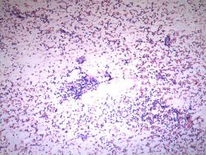
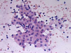
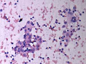
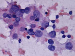
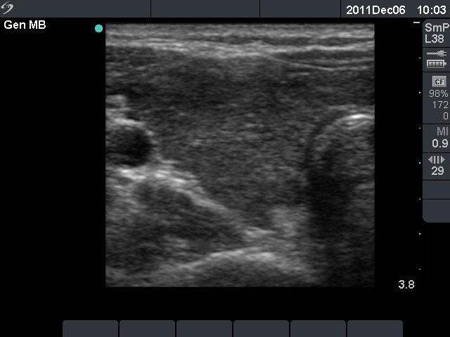
Ultrasonography: the thyroids were hypoechogenic without any nodule. The vascularization was increased.Cytology resulted in Hashimoto's thyroiditis.
Clinical diagnosis: hypothyroidism, post partum thyroiditis.
We did not administer replacement therapy.
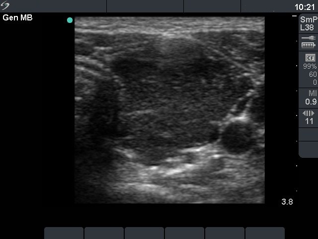
Second examination 3 months later (3rd row of images)
Clinical presentation: the complaints of the patient had decreased.
Palpation: no abnormality.
Functional state: euthyroidism with TSH-level 3.60 mIU/L, FT4 13.1 pM/L.
Ultrasonography: the degree of hypoechogenicity and the previously increased vascularization have decreased, as did the size of the thyroid.
We suggested follow-up examination with yearly TSH determination, in the case of pregnancy at once.
Comment:
It is well-known that post partum state is practically the only one when even severe hypothyroidism may spontaneously normalize. The increased vascularization in a hyperthyroid state has little relevance. It may be observed in active hormone-producing disorders and in destructive process of autoimmune thyroiditis, as well.















