Chronic lymphocytic thyroiditis - Case 35.
Initial investigation - 6 months after delivery (cytologic picture 5)
|
|
|
|
|
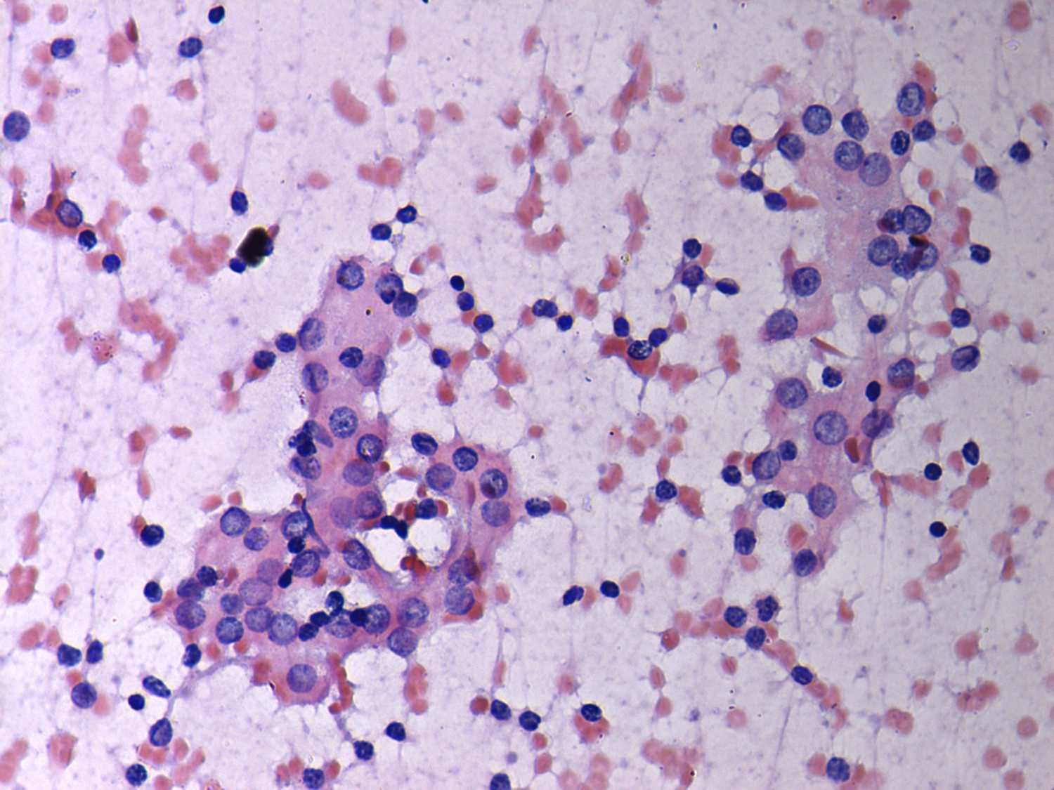
Pap-smear, 400x. Follicular cells vary in size, but do not display any significant atypia.

