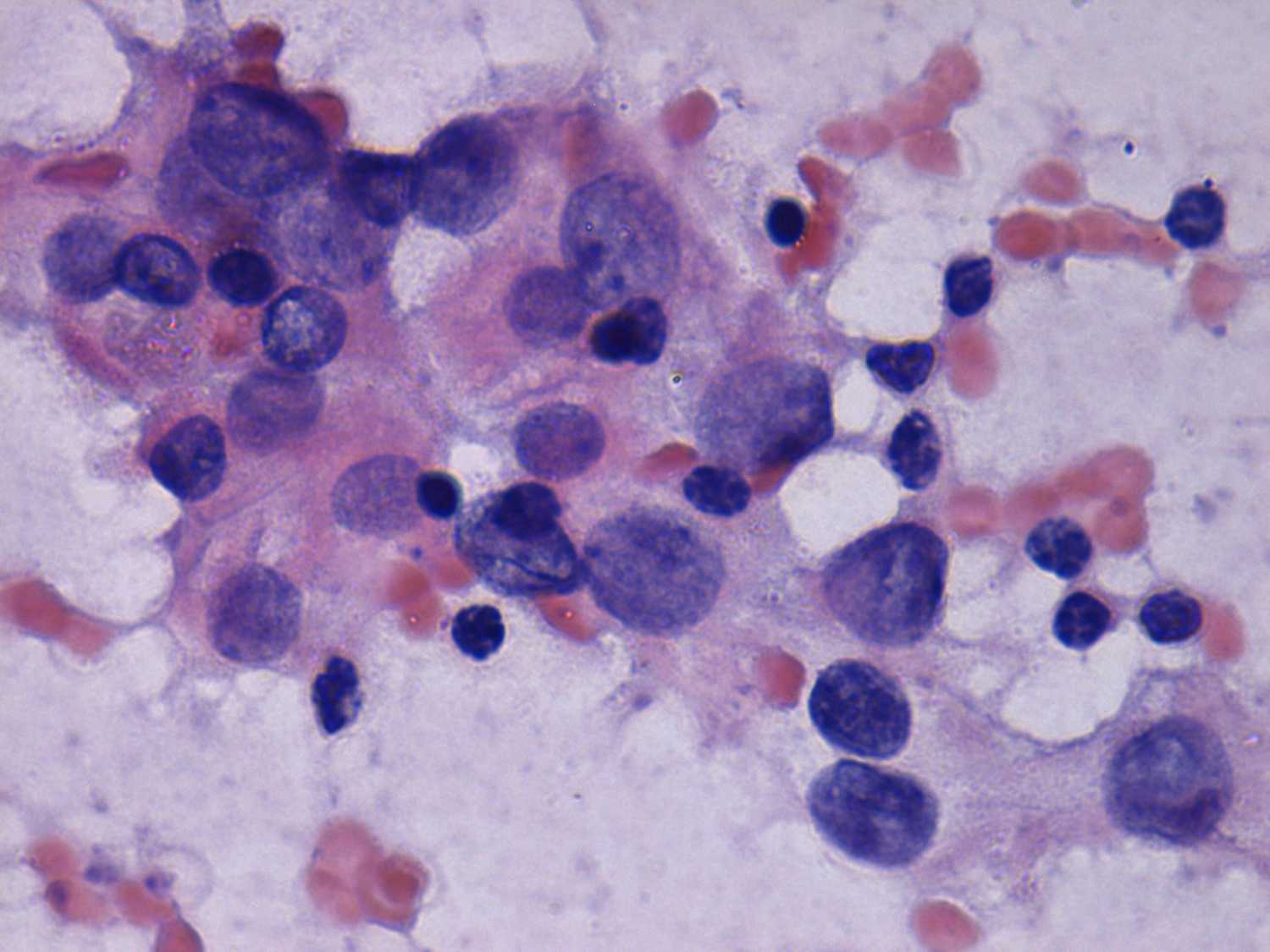
Chronic lymphocytic thyroiditis - Case 35.
Initial investigation - 6 months after delivery (cytologic picture 6)
|
|
|
|
|
Pap-smear, 1000x. The pathognomic pattern of Hashimoto's thyroiditis: a cell group formed by lymphocytes and oxyphilic cells.

