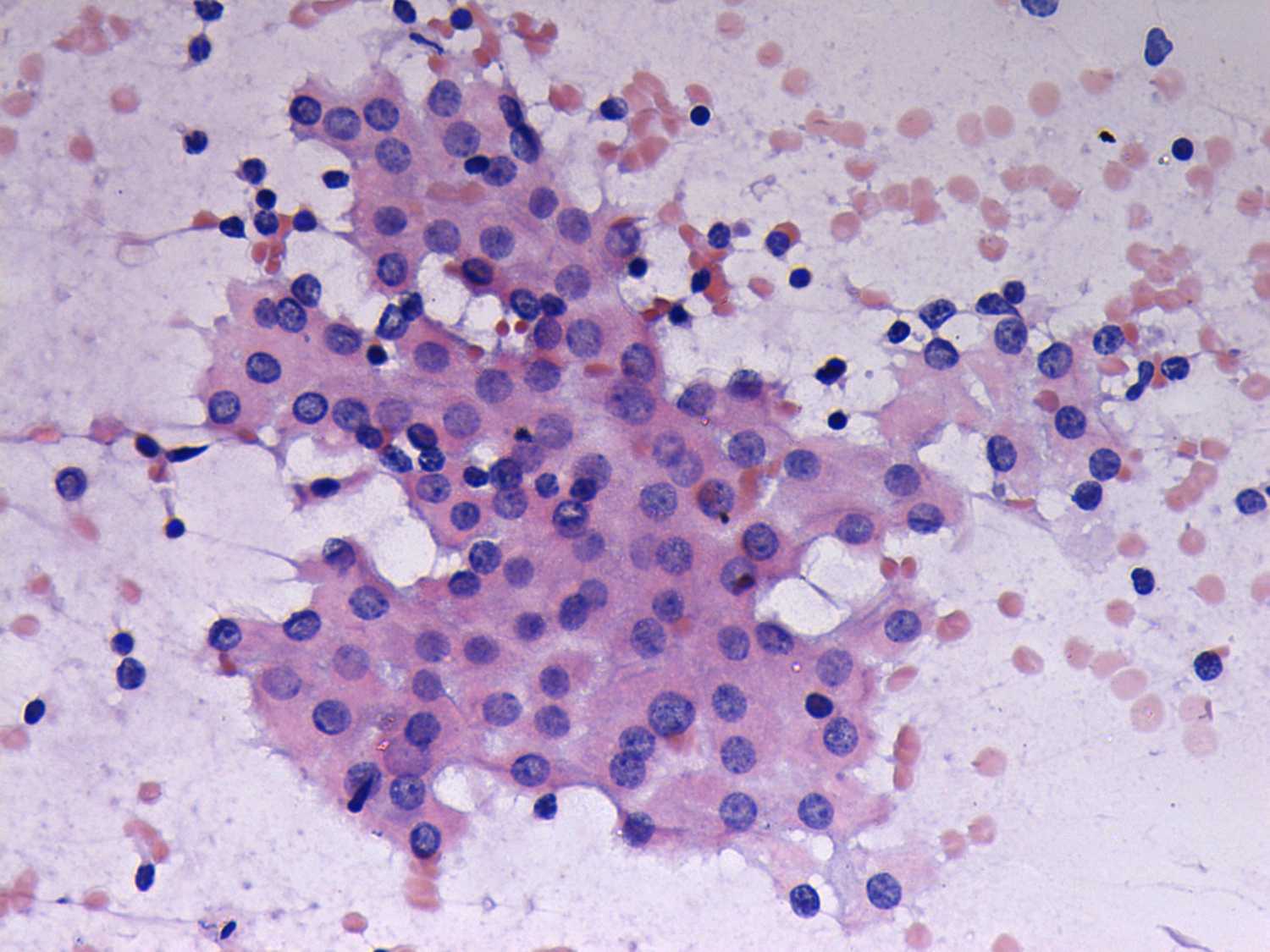
Chronic lymphocytic thyroiditis - Case 35.
Initial investigation - 6 months after delivery (cytologic picture 4)
|
|
|
|
|
Pap-smear, 400x. Note lymphocytes within the monolayered sheet composed of oxyphilic cells.

