Chronic lymphocytic thyroiditis - Case 36. |
|
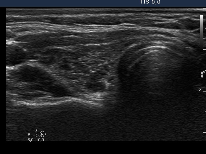
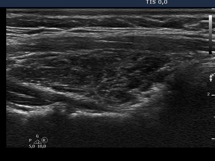
Clinical data: a 35-year-old woman with hypothyroidism replaced with 100 ug levo-tiroxin was referred for evaluation of thyroid nodules.
Functional state: euthyroidism.
Ultrasonography: there were several circumscribed areas which in fact did not fit nodules. These are active foci of autoimmune thyroiditis.
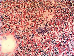
Cytological report: benign Hashimoto's thyroiditis.









