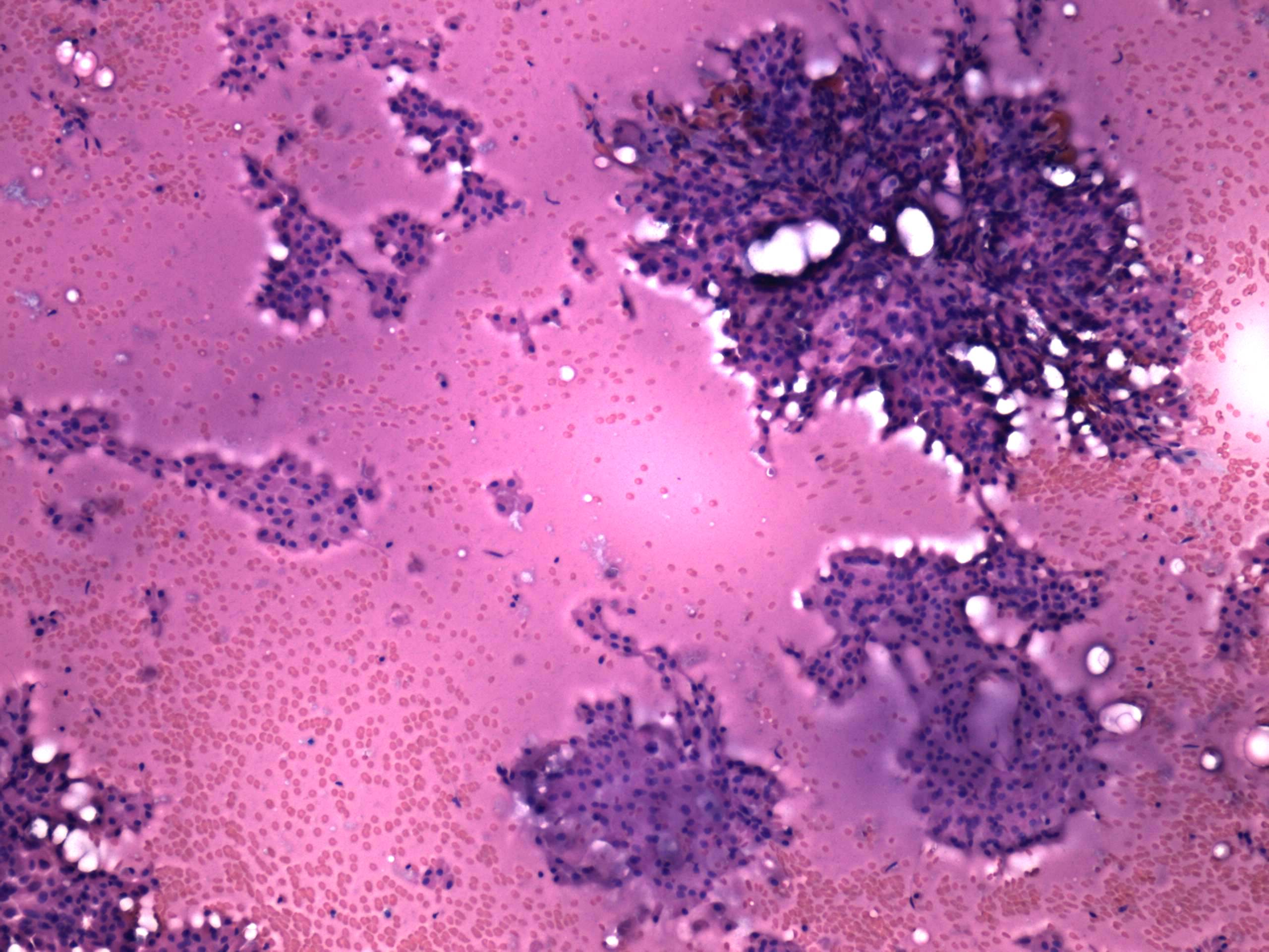
Benign nodular hyperplasia - Case 40. (cytologic picture 1)
|
|
|
|
|
Pap-smear, 100x. There is diffuse colloid precipitate in the background. Monolayered sheets of follicular cells and a papillary cluster on the right.

