Menu
Case histories
Lectures
Papillary cancer
List of cases
Videorecords
Pitfalls
Course book
Course on US
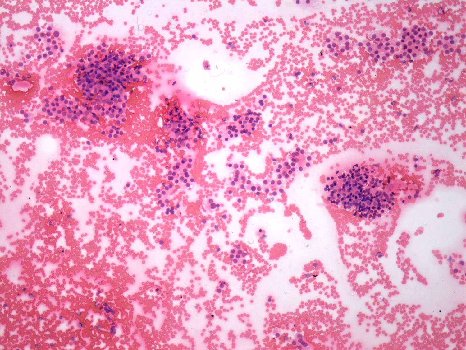
Papillary carcinoma - Case 9. (cytologic picture 1)
HE-staining, 100x. There is no colloid in the background. Follicular cells are in micro- and normofollicles.