Menu
Case histories
Lectures
Papillary cancer
List of cases
Videorecords
Pitfalls
Course book
Course on US
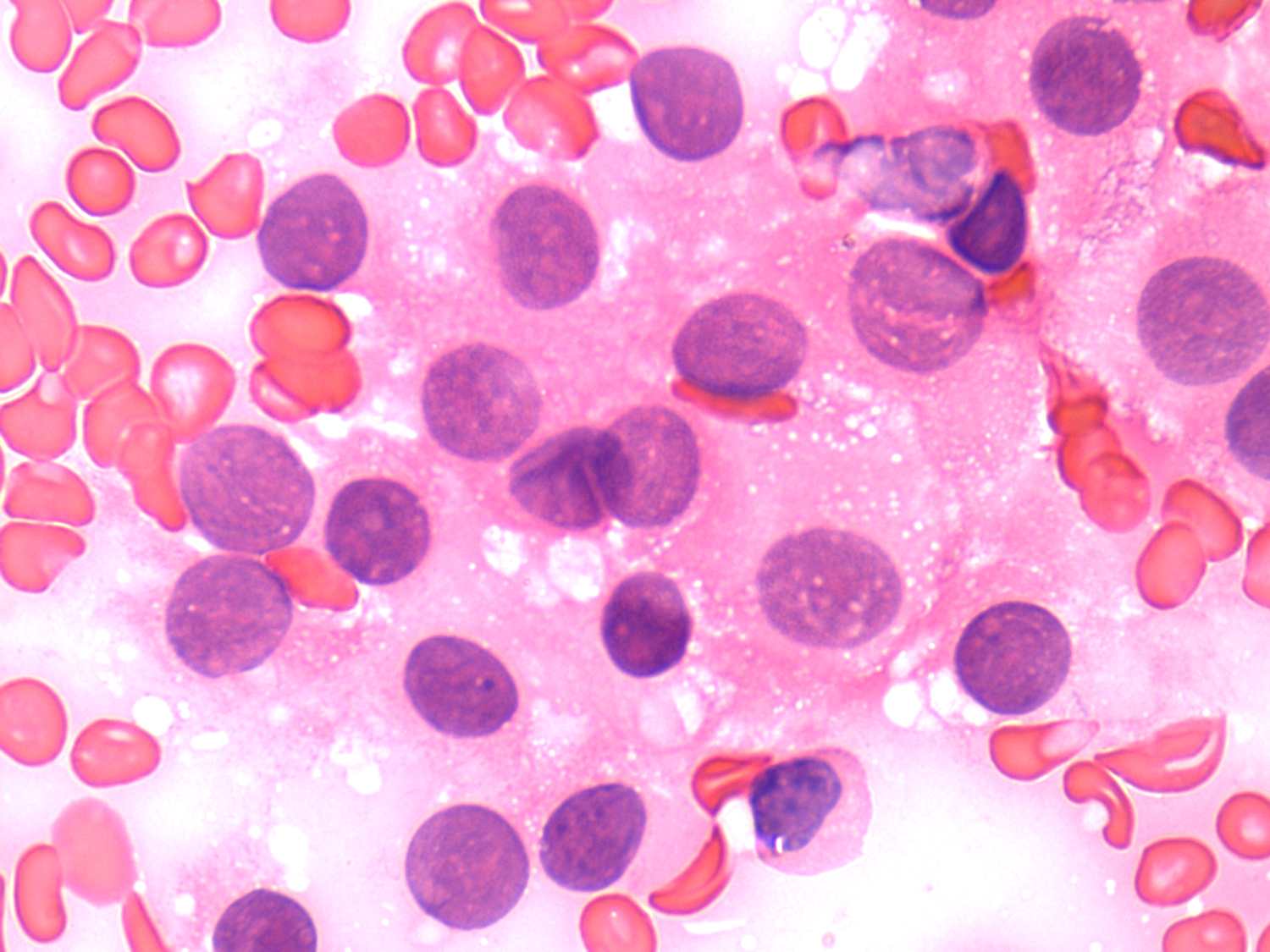
Papillary carcinoma - Case 9. (cytologic picture 6)
Pap-smear, 1000x. An irregular cluster with loss of polarity of cells. Follicular cells display neither inclusion nor groove.