Menu
Case histories
Lectures
Papillary cancer
List of cases
Videorecords
Pitfalls
Course book
Course on US
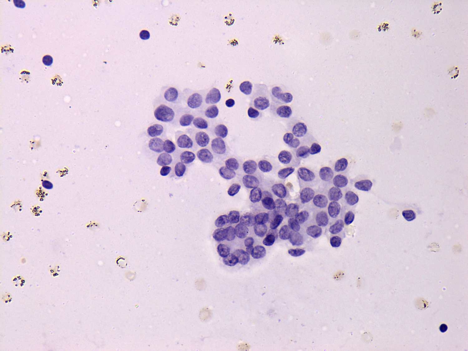
Papillary carcinoma - Case 9. (cytologic picture 5 of a smear stained by Pap method)
Pap-smear, 400x. Note the scratchy chromatin structure and the presence of intranuclear inclusions.