Oxyphilic adenoma - Case 13. |
|
Clinical presentation: a 49-year-old woman was referred for an evaluation of a nodular goiter which evolved over 2 years and caused difficulties in swallowing in the last few months.
Palpation: a moderately firm nodule in the right lobe.
Functional state: euthyroidism with TSH 3.01 mIU/L.
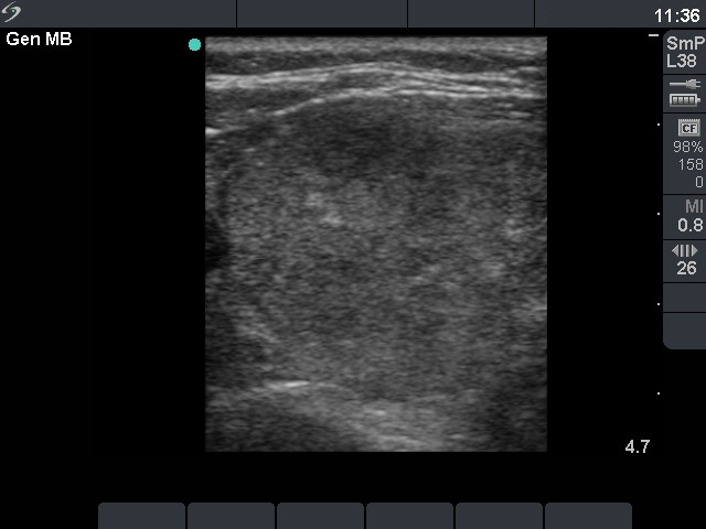
Ultrasonography: revealed a moderately hypoechogenic, inhomogeneous nodule in the left thyroid. The presence of a halo sign was equivocal, while the nodule displayed a type 2 vascular pattern.
Cytological report: Hürthle-cell tumor.
Histopathology: disclosed Hürthle-cell adenoma.








