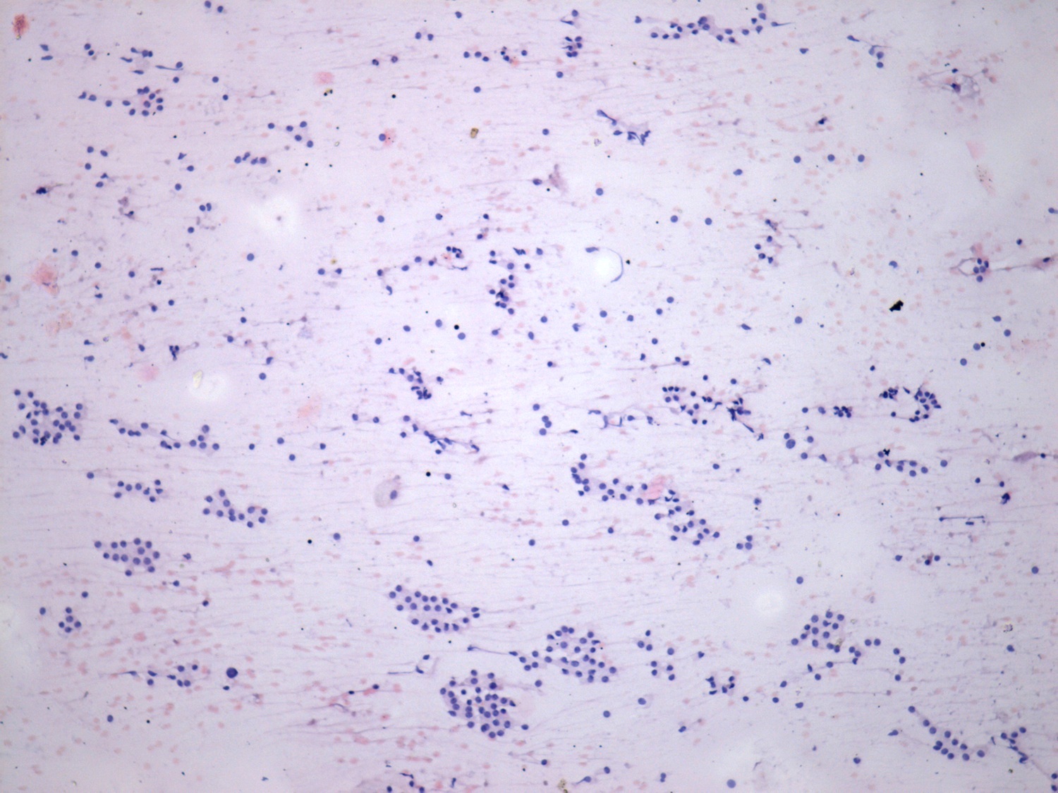
Parathyroid lesions - Case 9. (cytologic picture 1)
|
|
|
|
|
Pap-smear, 100x. There is no colloid in the background. Epithelial cells are in loose clusters and dispersed.

