Chronic lymphocytic thyroiditis - Case 76. |
|
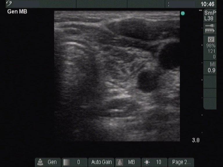
Clinical presentation: a 34-year-old woman was referred for an evaluation of a nodular goiter detected on a routine physical examination.
Palpation: there was a nodule in the right lobe.
Hormonal investigation: indicated hypothyroidism with TSH-level 15.6 mIU/L, FT4 8.8 pM/L.
Ultrasonography: revealed hypoechogenic inhomogeneous thyroids. There was a moderately hyperechogenic nodule in the left lobe. The nodule presented a halo sign and perinodular blood flow.
Cytology: Hashimoto's thyroiditis.
.





