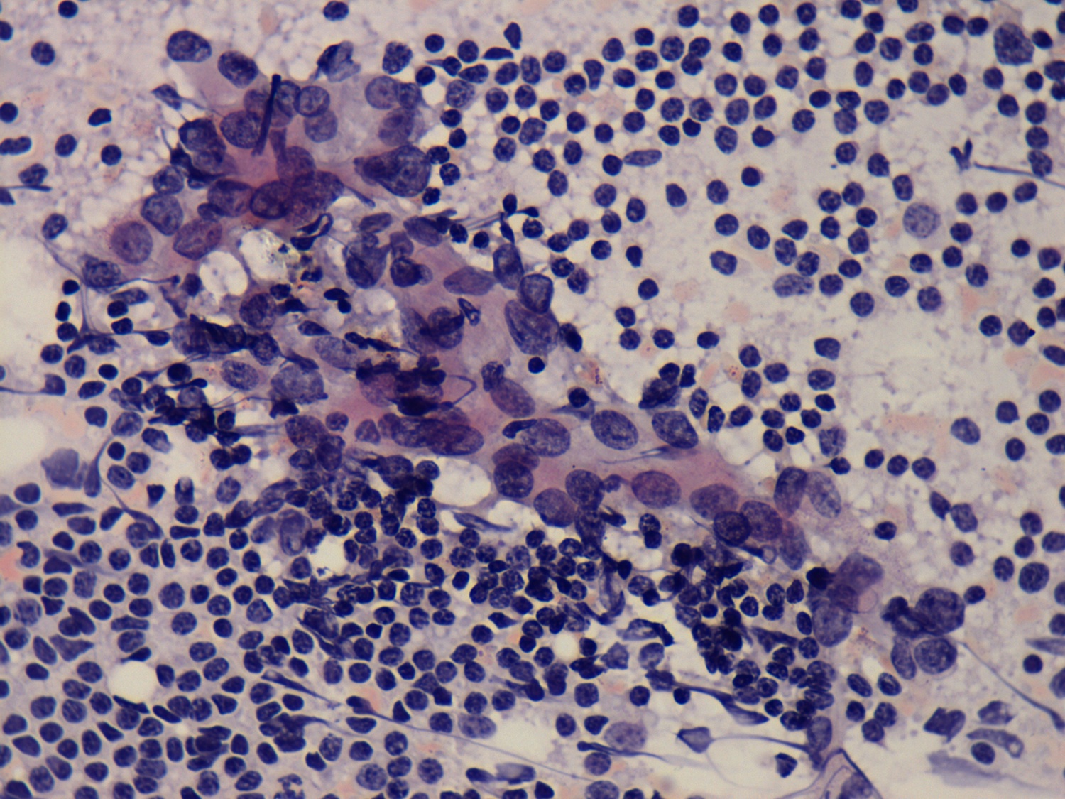
Chronic lymphocytic thyroiditis - Case 60. (cytologic picture 4)
|
|
|
|
|
Pap-smear, 400x. The arrangement of thyrocytes is irregular. Moreover, follicular cells present pleomorphism, as well.

