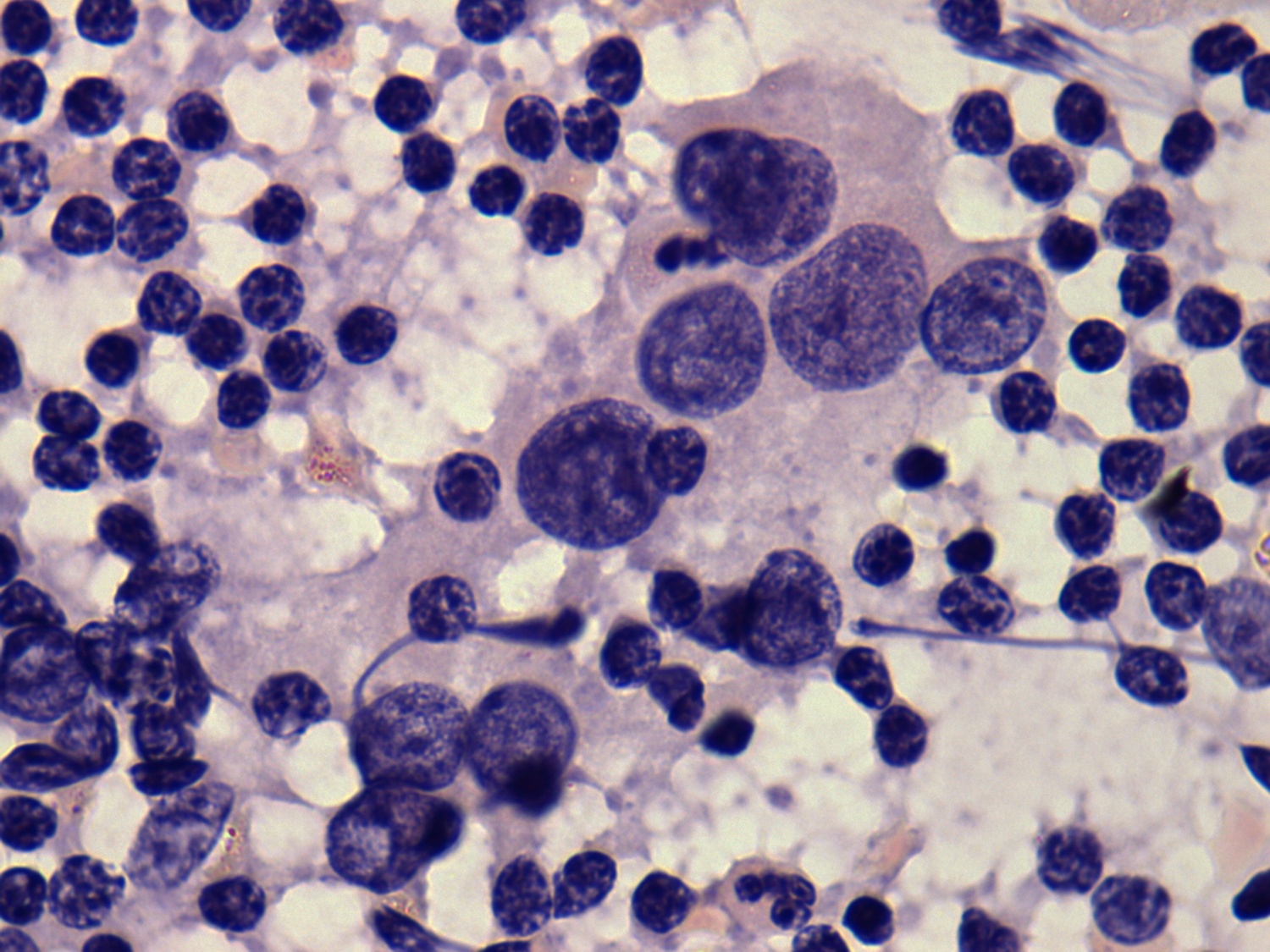
Chronic lymphocytic thyroiditis - Case 60. (cytologic picture 5)
|
|
|
|
Pap-smear, 1000x. Follicular cells have irregular chromatin structure. There is an intranuclear hole in the lowest thyrocyte.

