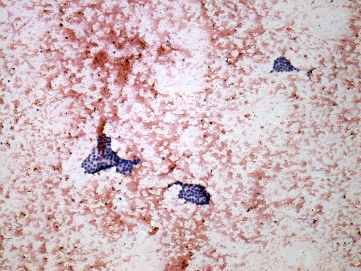
Benign nodular hyperplasia - Case 16.
Second examination one year later (cytologic picture 1)
|
|
|
|
Pap-smear, 100x. There is no colloid in the background. Follicular cells are in monolayered sheets.

