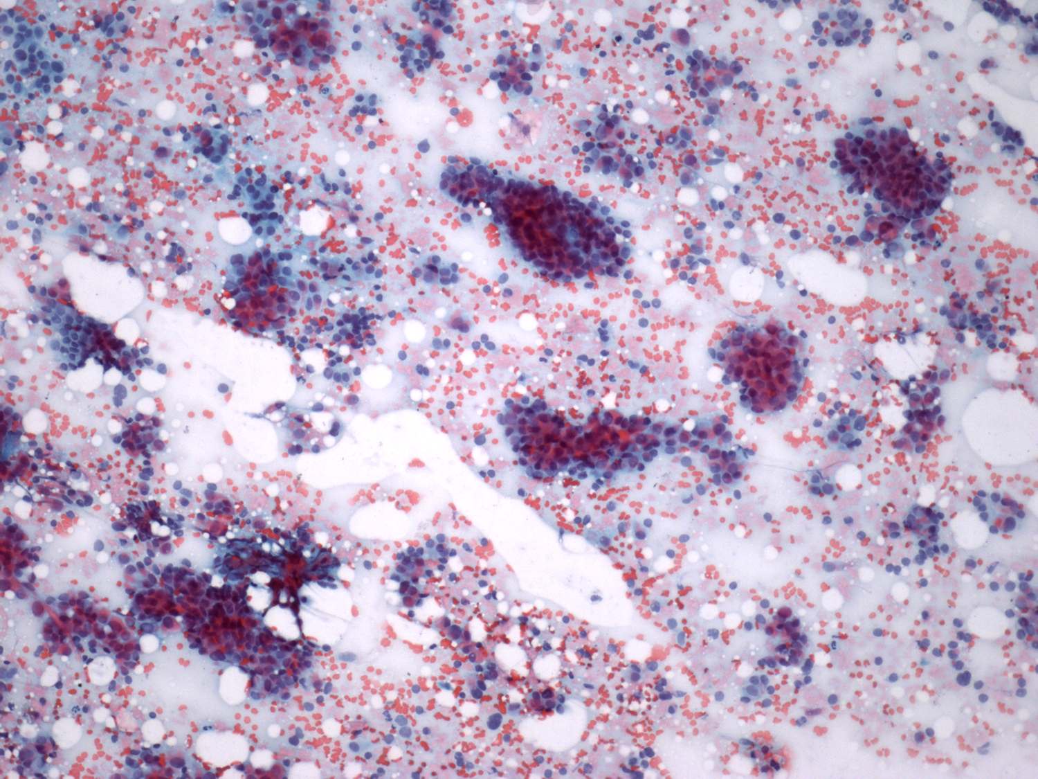
Other rare thyroid tumors and non-thyroidal lesions in the region of the thyroid - Case 1.
Tall cell variant of papillary
carcinoma (cytologic picture 1)

Pap-smear, 100x. There is no colloid
in the background. A very cellular pattern: follicular cells in
papillary clusters and forming microfollicles.
|