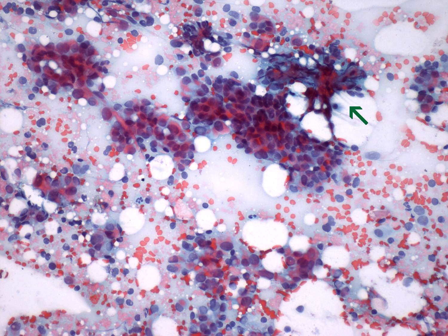
Other rare thyroid tumors and non-thyroidal lesions in the region of the thyroid - Case 1.
Tall cell variant of papillary
carcinoma (cytologic picture 2)

Pap-smear, 200x. A small papillary
cell group with fibrovascular core (green arrow). The nuclei are
elongated.
|