|
|
Other rare thyroid tumors and non-thyroidal lesions in the region of the thyroid - Case 1.Tall cell variant of papillary carcinoma |
|
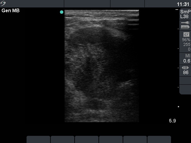
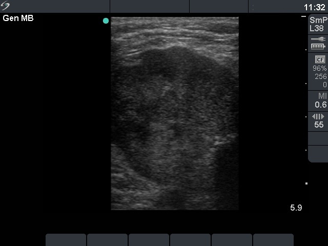
Clinical presentation: a 61-year-old man was referred for an evaluation of a large nodule in the left lobe. He first noticed a lump 3 years earlier.
Palpation: a hard very large tumor in the region of the left lobe.
Functional state: euthyroidism (TSH-level 0.95 mIU/L).
Ultrasonography: there was a hypoechogenic, inhomogeneous nodule occupying almost the entire left thyroid. The nodule spread substernal. The lesion contained microcalcifications and had irregular borders. The intranodular blood flow was decreased.
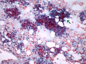
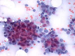
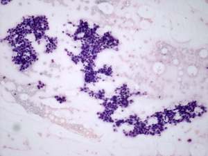
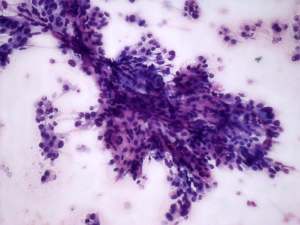
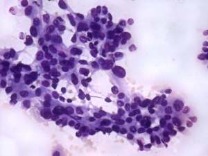
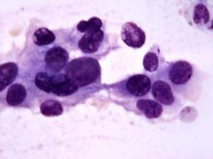
Cytological diagnosis: less well differentiated primary thyroid carcinoma.
Histopathology: tall cell variant of papillary cancer.














