Menu
Case histories
Lectures
Other rare tumors
List of cases
Videorecords
Pitfalls
Course book
Course on US
Other rare thyroid tumors and non-thyroidal lesions in the region of the thyroid - Case 1.
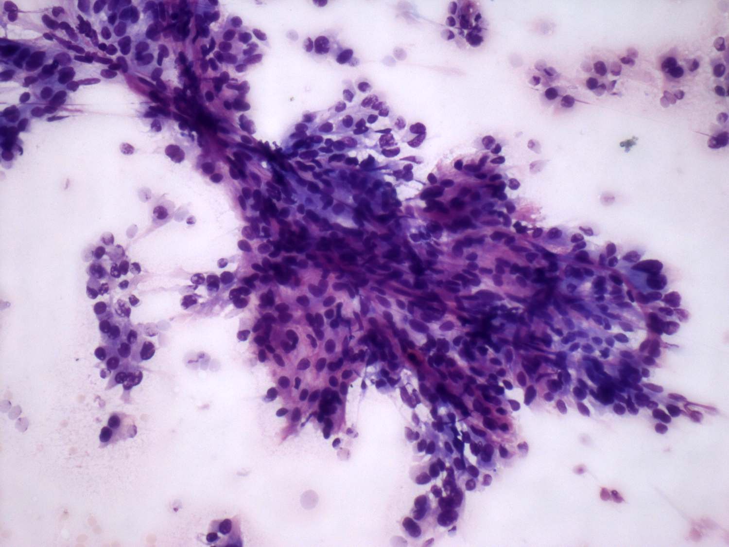
Tall cell variant of papillary carcinoma (cytologic picture 9)
Wright-Giemsa staining, 100x. Papillary cell group with fibrovascular core.