Menu
Case histories
Lectures
Other rare tumors
List of cases
Videorecords
Pitfalls
Course book
Course on US
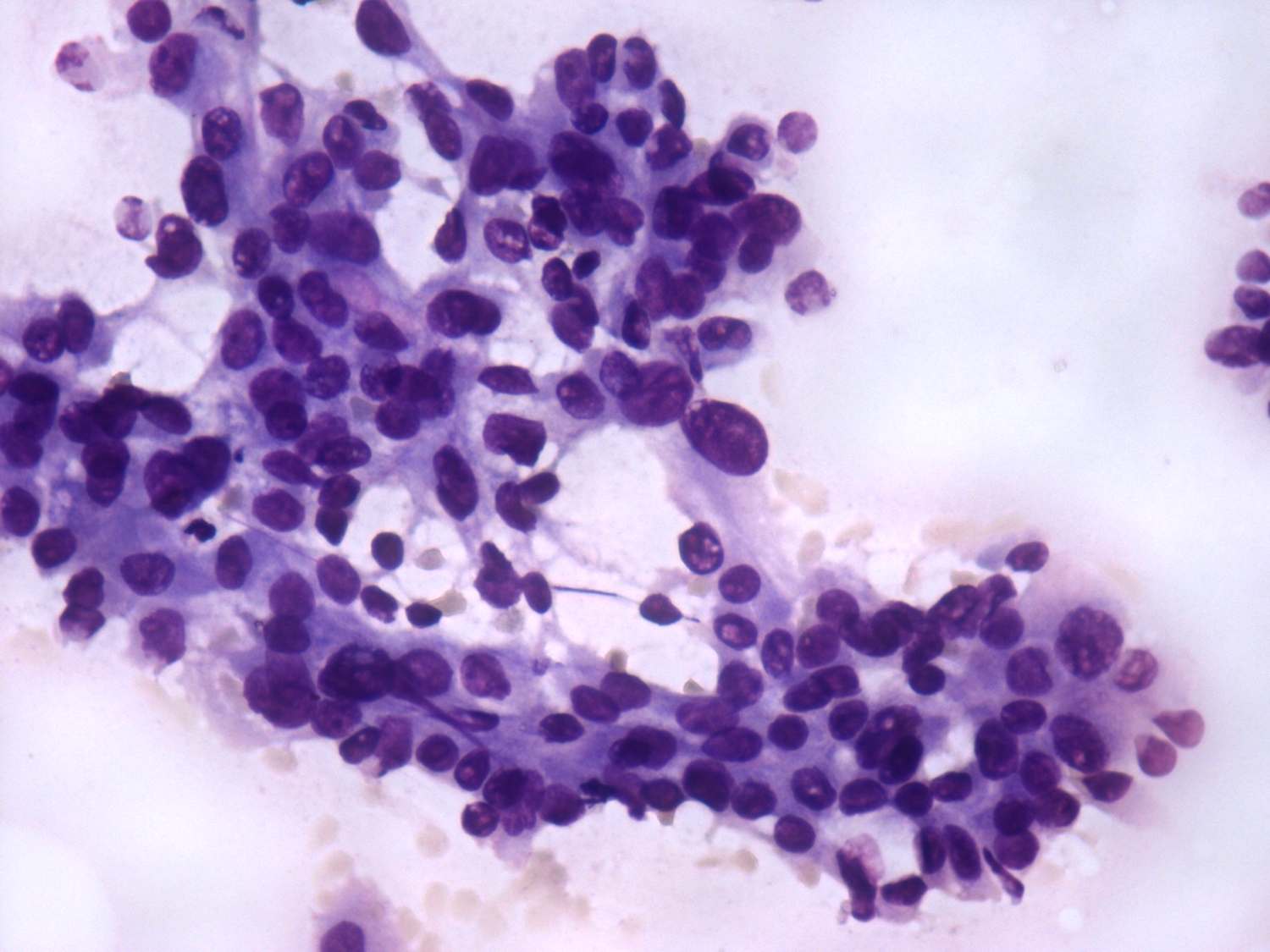
Other rare thyroid tumors and non-thyroidal lesions in the region of the thyroid - Case 1.
Tall cell variant of papillary carcinoma (cytologic picture 10)
Wright-Giemsa staining, 400x. The nuclei are elongated.