Other rare thyroid tumors and non-thyroidal lesions in the region of the thyroid - Case 1.
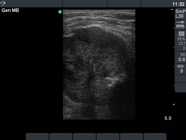
Tall cell variant of papillary carcinoma (ultrasonographic picture 3)

Left lobe, longitudinal view. The nodule contained coarse and microcalcifications. Note that the depth had to reset to 59 mm in order to visualize the dorsal part of the nodule.
|