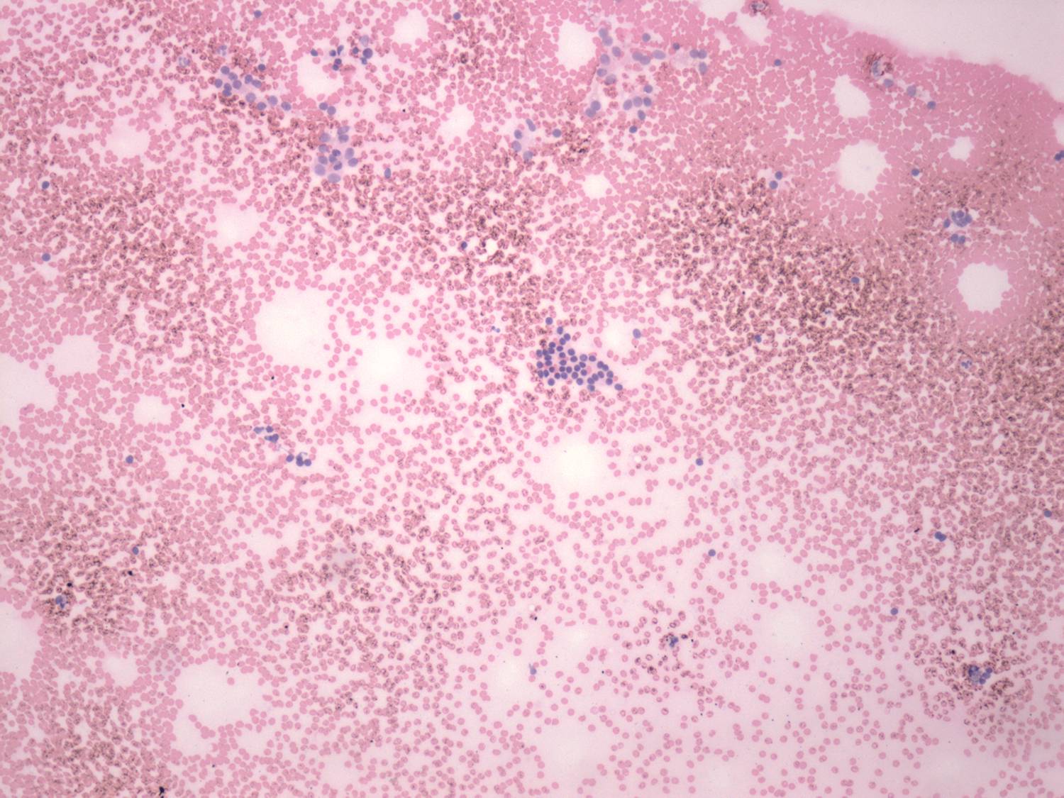
Pap-smear, 100x. There is no colloid in the background. A microfollicular growth pattern is presented.