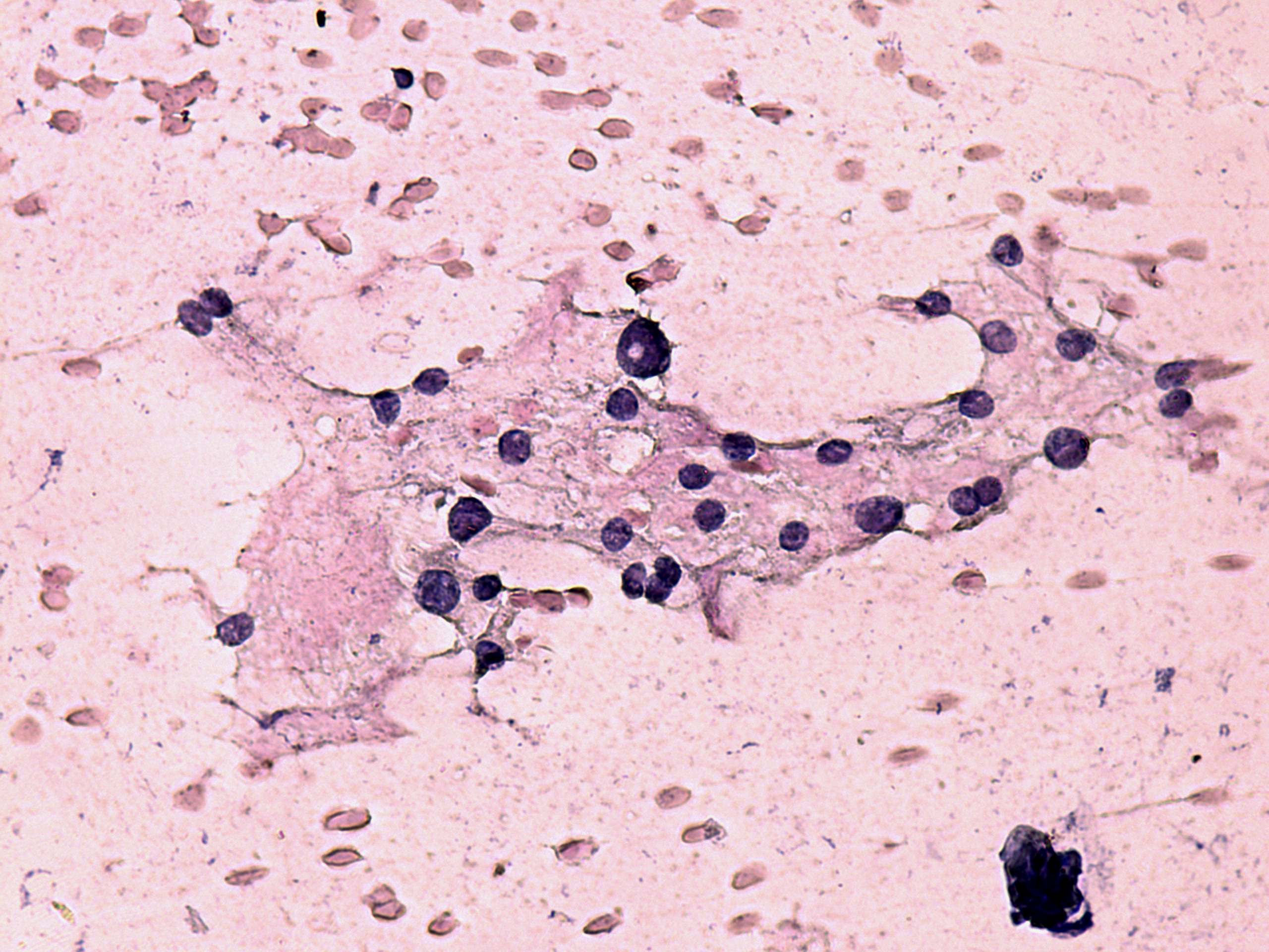
Chronic lymphocytic thyroiditis - Case 57. (cytologic picture 5)
|
|
|
|
Pap-smear, 400x. A loose cluster of follicular cells. Note vascularization and one intranuclear inclusion. Cytoplasmic vacuolization would be a rare finding in papillary cancer, and favors the possibility of hormonal influence, which is frequently observed in Hashimoto's thyroiditis.

