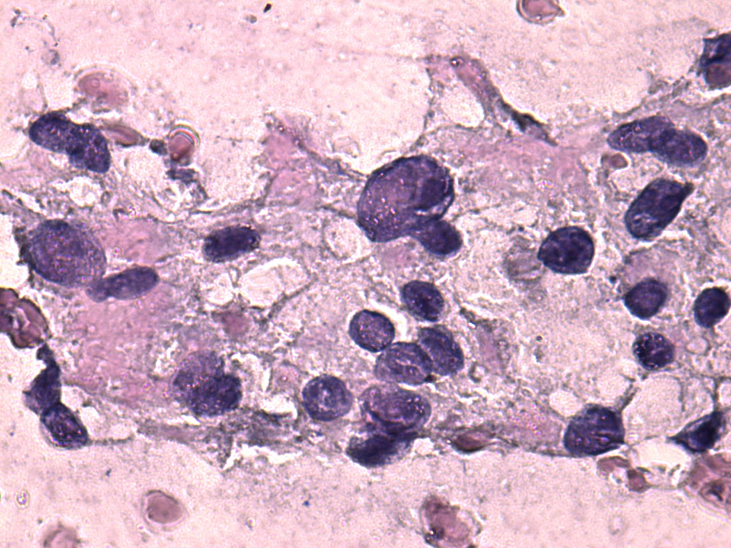
Pap-smear, 1000x. An irregular cluster of thyrocytes is presented with nuclear crowding and several atypical cells.