Menu
Case histories
Lectures
Papillary cancer
List of cases
Videorecords
Pitfalls
Course book
Course on US
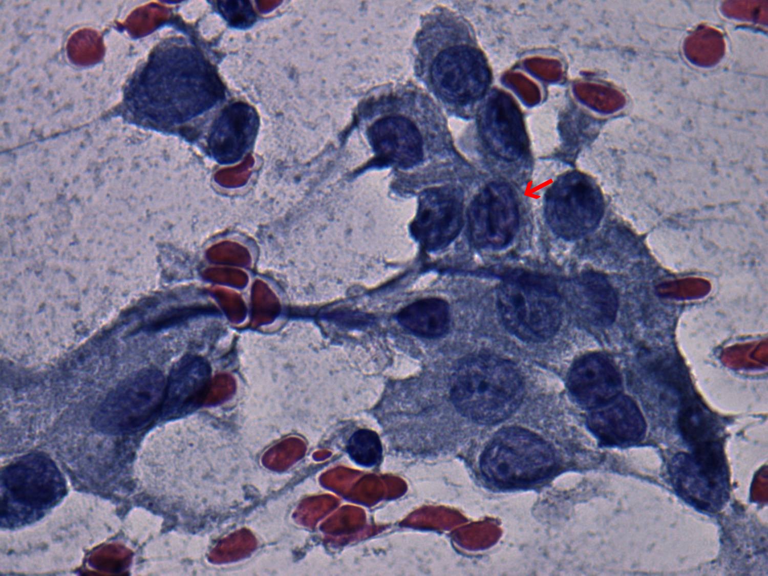
Papillary carcinoma - Case 26. (cytologic picture 7)
Pap-smear, 1000x. One nucleus with groove (red arrow).