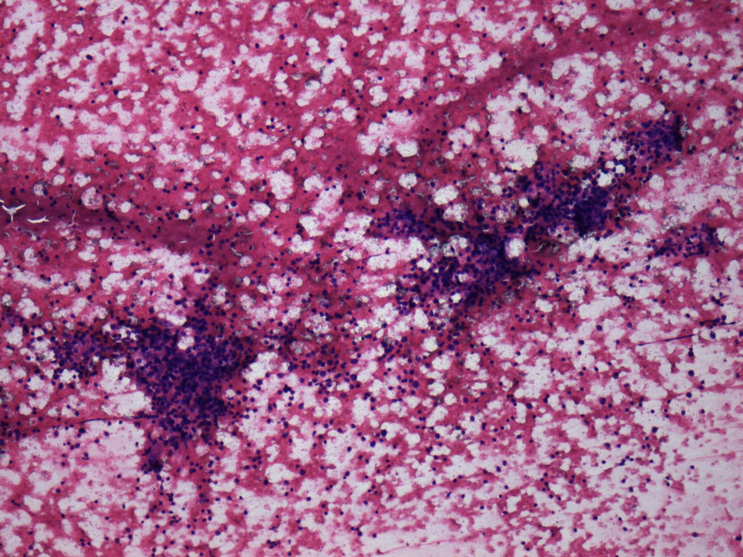
Benign nodular hyperplasia - Case 41. (cytologic picture 1)
|
|
|
|
|
Pap-smear, 100x. There is no colloid in the background. Thyrocytes are located predominantly in monolayered sheets.

